• Tel: 858.663.9055
  • SeparatorEmail: info@nsjbio.com
  • Tel: 858.663.9055
  • Email: info@nsjbio.com
Home >> Antibodies >> ALDH3A1 Antibody / ALDH3 / Aldehyde dehydrogenase 3

ALDH3A1 Antibody / ALDH3 / Aldehyde dehydrogenase 3 (R31185)

  Catalog No Formulation Size Price (USD)  
Image R31185 0.5mg/ml if reconstituted with 0.2ml sterile DI water 100 ug 439
Bulk quote request
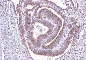
IHC staining of FFPE human rectal cancer tissue with ALDH3A1 antibody. HIER: boil tissue sections in pH8 EDTA for 20 min and allow to cool before testing.
Western blot testing of human 1) A549 and 2) HeLa cell lysate with ALDH3A1 antibody. Predicted molecular weight: ~51 kDa.
Availability 1-3 business days
Species Reactivity Human
Format Antigen affinity purified
Clonality Polyclonal (rabbit origin)
Isotype Rabbit IgG
Purity Antigen affinity
Buffer Lyophilized from 1X PBS with 2 Trehalose
UniProt P30838
Applications Western Blot : 0.5-1ug/ml
Immunohistochemistry (FFPE) : 2-4ug/ml
Limitations This ALDH3A1 antibody is available for research use only.
Review this product on BioCompare and get a $20 Amazon gift card

Related Products

  • Applications : WB, IHC, ELISA (peptide)
    Reactivity : Human, Mouse
  • Applications : WB, IHC-P, IF, Direct ELISA
    Reactivity : Human
  • Applications : WB, IHC-P, FACS, Direct ELISA
    Reactivity : Human

Description

Aldehyde Dehydrogenase, Family 3, Subfamily A, Member 1, also known as ALDH3, is an enzyme that in humans is encoded by the ALDH3A1 gene. By in situ hybridization, Hiraoka et al.(1995) mapped the gene to 17p11.2. ALDHs play a major role in the detoxification of alcohol-derived acetaldehyde. They are involved in the metabolism of corticosteroids, biogenic amines, neurotransmitters, and lipid peroxidation. This protein preferentially oxidizes aromatic aldehyde substrates. It may play a role in the oxidation of toxic aldehydes.

Application Notes

The stated application concentrations are suggested starting amounts. Titration of the ALDH3A1 antibody may be required due to differences in protocols and secondary/substrate sensitivity.

Immunogen

An amino acid sequence from the C-terminus of human ALDH3A1 (KVRYPPSPAKMTQH) was used as the immunogen for this ALDH3A1 antibody.

Storage

After reconstitution, the ALDH3A1 antibody can be stored for up to one month at 4oC. For long-term, aliquot and store at -20oC. Avoid repeated freezing and thawing.

Cross
Bulk Quote Request Form
Name*:
Organization*:
Email*:
Phone Number*:
Catalog No.*:
Comments and Specifics(amount, formulation, etc.)*:
Validation code: Captchapackage Image


Can't read the image? click here to refresh.
    *required field

Your bulk quote request has been submitted successfully!

Please contact us if you have any questions.