• Tel: 858.663.9055
  • SeparatorEmail: info@nsjbio.com
  • Tel: 858.663.9055
  • Email: info@nsjbio.com
Home >> Antibodies >> ALDH1L1 Antibody

ALDH1L1 Antibody [clone ALDH1L1/7969] (V4989)

  Catalog No Formulation Size Price (USD)  
Image V4989-100UG 0.2 mg/ml in 1X PBS with 0.1 mg/ml BSA (US sourced), 0.05% sodium azide 100 ug 539
Image
V4989-20UG 0.2 mg/ml in 1X PBS with 0.1 mg/ml BSA (US sourced), 0.05% sodium azide 20 ug 249
Image
V4989SAF-100UG 1 mg/ml in 1X PBS; BSA free, sodium azide free 100 ug 539
Bulk quote request
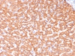
IHC staining of FFPE human renal cell carcinoma tissue with ADH1L1 antibody (clone ALDH1L1/7969). HIER: boil tissue sections in pH 9 10mM Tris with 1mM EDTA for 20 min and allow to cool before testing.
IHC staining of FFPE human hepatocellular carcinoma tissue with ADH1L1 antibody (clone ALDH1L1/7969). HIER: boil tissue sections in pH 9 10mM Tris with 1mM EDTA for 20 min and allow to cool before testing.
SDS-PAGE analysis of purified, BSA-free ALDH1L1 antibody (clone ALDH1L1/7969) as confirmation of integrity and purity.
Availability 1-3 business days
Species Reactivity Human
Format Purified
Clonality Monoclonal (mouse origin)
Isotype Mouse IgG2, kappa
Clone Name ALDH1L1/7969
Purity Protein A/G affinity
UniProt O75891
Localization Cytoplasm
Applications Immunohistochemistry (FFPE) : 1-2ug/ml for 30 min at RT
Limitations This ALDH1L1 antibody is available for research use only.
Review this product on BioCompare and get a $20 Amazon gift card

Related Products

Description

Aldehyde dehydrogenases (ALDHs) mediate NADP+-dependent oxidation of aldehydes into acids during detoxification of alcohol-derived acetaldehyde, lipid peroxidation and metabolism of corticosteroids, biogenic amines and neurotransmitters. ALDH1L1 (aldehyde dehydrogenase 1 family member L1), also known as FTHFD or 10-FTHFD (10-formyltetrahydrofolate dehydrogenase), is a cytosolic protein that is developmentally regulated in the cerebellum. ALDH1L1 binds to folate and catalyzes the conversion of 10-formyltetrahydrofolate (10-FTHF) to tetrahydrofolate (THF). This suggests a possible role for ALDH1L1 in the regulation of cellular THF levels as well as in the inhibition of cell proliferation (as 10-FTHF is essential for the synthesis of purine). In addition, the overexpression of ALDH1L1 can restrict cell proliferation in vitro.

Application Notes

Optimal dilution of the ALDH1L1 antibody should be determined by the researcher.

Immunogen

A recombinant fragment of human ALDH1L1 protein was used as the immunogen for the ALDH1L1 antibody.

Storage

Aliquot the ALDH1L1 antibody and store frozen at -20oC or colder. Avoid repeated freeze-thaw cycles.

Cross
Bulk Quote Request Form
Name*:
Organization*:
Email*:
Phone Number*:
Catalog No.*:
Comments and Specifics(amount, formulation, etc.)*:
Validation code: Captchapackage Image


Can't read the image? click here to refresh.
    *required field

Your bulk quote request has been submitted successfully!

Please contact us if you have any questions.