• Tel: 858.663.9055
  • SeparatorEmail: info@nsjbio.com
  • Tel: 858.663.9055
  • Email: info@nsjbio.com
Home >> Antibodies >> ALDH1B1 Antibody

ALDH1B1 Antibody (R32505)

  Catalog No Formulation Size Price (USD)  
Image R32505 0.5mg/ml if reconstituted with 0.2ml sterile DI water 100 ug 439
Bulk quote request
Western blot testing of 1) rat liver, 2) rat testis, 3) rat RH35, 4) mouse brain and 5) mouse liver tissue lysate with ALDH1B1 antibody. Predicted molecular weight ~57 kDa.
Western blot testing of human 1) HepG2, 2) K562, 3) A431, 4) A549, 5) U-2 OS, 6) HeLa and 7) monkey COS-7 cell lysate with ALDH1B1 antibody. Predicted molecular weight ~57 kDa.
Immunofluorescent staining of FFPE human A431 cells with ALDH1B1 antibody (green) and DAPI nuclear stain (blue). HIER: steam section in pH6 citrate buffer for 20 min.
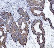
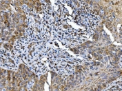
IHC staining of FFPE human colonic adenocarcinoma with ALDH1B1 antibody. HIER: boil tissue sections in pH8 EDTA for 20 min and allow to cool before testing.
IHC staining of FFPE human colon cancer with ALDH1B1 antibody. HIER: boil tissue sections in pH8 EDTA for 20 min and allow to cool before testing.
IHC staining of FFPE human endometrial adenocarcinoma with ALDH1B1 antibody. HIER: boil tissue sections in pH8 EDTA for 20 min and allow to cool before testing.
IHC staining of FFPE human hepatocellular carcinoma with ALDH1B1 antibody. HIER: boil tissue sections in pH8 EDTA for 20 min and allow to cool before testing.
IHC staining of FFPE human laryngeal squamous cell carcinoma with ALDH1B1 antibody. HIER: boil tissue sections in pH8 EDTA for 20 min and allow to cool before testing.
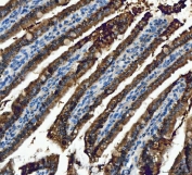
IHC staining of FFPE mouse colon with ALDH1B1 antibody. HIER: boil tissue sections in pH8 EDTA for 20 min and allow to cool before testing.
IHC staining of FFPE rat colon with ALDH1B1 antibody. HIER: boil tissue sections in pH8 EDTA for 20 min and allow to cool before testing.
Flow cytometry testing of human HEL cells with ALDH1B1 antibody at 1ug/million cells (blocked with goat sera); Red=cells alone, Green=isotype control, Blue= ALDH1B1 antibody.
Availability 1-3 business days
Species Reactivity Human, Mouse, Rat, Monkey
Format Antigen affinity purified
Clonality Polyclonal (rabbit origin)
Isotype Rabbit IgG
Purity Antigen affinity
Buffer Lyophilized from 1X PBS with 2% Trehalose
UniProt P30837
Localization Cytoplasmic, granular
Applications Western Blot : 0.5-1ug/ml
Immunohistochemistry (FFPE) : 2-5ug/ml
Immunofluorescence (FFPE) : 5ug/ml
Flow Cytometry : 1-3ug/million cells
Limitations This ALDH1B1 antibody is available for research use only.
Review this product on BioCompare and get a $20 Amazon gift card

Related Products

  • Applications : WB, ELISA (peptide)
    Reactivity : Human

Description

Aldehyde dehydrogenase X, mitochondrial is an enzyme that in humans is encoded by the ALDH1B1 gene. This protein belongs to the aldehyde dehydrogenases family of proteins. Aldehyde dehydrogenase is the second enzyme of the major oxidative pathway of alcohol metabolism. This gene does not contain introns in the coding sequence. The variation of this locus may affect the development of alcohol-related problems.

Application Notes

Differences in protocols and secondary/substrate sensitivity may require the ALDH1B1 antibody to be titrated for optimal performance.

Immunogen

Amino acids 116-156 (RVYLASLETLDNGKPFQESYALDLDEVIKVYRYFAGWADKW from the human protein were used as the immunogen for the ALDH1B1 antibody.

Storage

After reconstitution, the ALDH1B1 antibody can be stored for up to one month at 4oC. For long-term, aliquot and store at -20oC. Avoid repeated freezing and thawing.

Cross
Bulk Quote Request Form
Name*:
Organization*:
Email*:
Phone Number*:
Catalog No.*:
Comments and Specifics(amount, formulation, etc.)*:
Validation code: Captchapackage Image


Can't read the image? click here to refresh.
    *required field

Your bulk quote request has been submitted successfully!

Please contact us if you have any questions.