• Tel: 858.663.9055
  • SeparatorEmail: info@nsjbio.com
  • Tel: 858.663.9055
  • Email: info@nsjbio.com
Home >> Antibodies >> ALDH1A3 Antibody

ALDH1A3 Antibody (R32728)

  Catalog No Formulation Size Price (USD)  
Image R32728 0.5mg/ml if reconstituted with 0.2ml sterile DI water 100 ug 439
Bulk quote request
Western blot testing of 1) rat kidney, 2) mouse stomach and 3) human HepG2 lysate with ALDH1A3 antibody at 0.5ug/ml. Predicted molecular weight ~56 kDa.
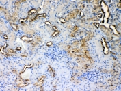
IHC testing of FFPE human stomach cancer tissue with ALDH1A3 antibody at 1ug/ml. Required HIER: steam section in pH6 citrate buffer for 20 min and allow to cool prior to testing.
IHC testing of FFPE mouse kidney tissue with ALDH1A3 antibody at 1ug/ml. Required HIER: steam section in pH6 citrate buffer for 20 min and allow to cool prior to testing.
IHC testing of FFPE rat kidney tissue with ALDH1A3 antibody at 1ug/ml. Required HIER: steam section in pH6 citrate buffer for 20 min and allow to cool prior to testing.
Immunofluorescent staining of human A431 cells with ALDH1A3 antibody (red) and DAPI nuclear stain (blue).
Flow cytometry testing of fixed and permeabilized human U-87 MG cells with ALDH1A3 antibody at 1ug/million cells (blocked with goat sera); Red=cells alone, Green=isotype control, Blue= ALDH1A3 antibody.
Flow cytometry testing of fixed and permeabilized human PC-3 cells with ALDH1A3 antibody at 1ug/million cells (blocked with goat sera); Red=cells alone, Green=isotype control, Blue= ALDH1A3 antibody.
Immunofluorescent staining of FFPE human SiHa cells with ALDH1A3 antibody (green) and DAPI nuclear stain (blue). HIER: steam section in pH6 citrate buffer for 20 min.
IHC staining of FFPE human liver tissue with ALDH1A3 antibody, HRP-secondary and DAB substrate. HIER: boil tissue sections in pH8 EDTA for 20 min and allow to cool before testing.
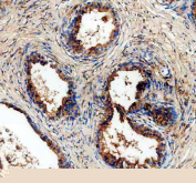
IHC staining of FFPE human prostate cancer tissue with ALDH1A3 antibody, HRP-secondary and DAB substrate. HIER: boil tissue sections in pH8 EDTA for 20 min and allow to cool before testing.
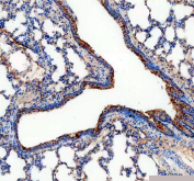
IHC staining of FFPE rat lung tissue with ALDH1A3 antibody, HRP-secondary and DAB substrate. HIER: boil tissue sections in pH8 EDTA for 20 min and allow to cool before testing.
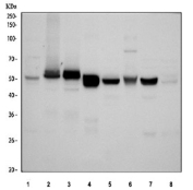
Western blot testing of 1) human HepG2, 2) human U-87 MG, 3) human PC-3, 4) rat liver, 5) rat kidney, 6) rat C6, 7) mouse liver and 8) mouse kidney tissue lysate with ALDH1A3 antibody at 0.5ug/ml. Predicted molecular weight ~56 kDa.
Availability 1-3 business days
Species Reactivity Human, Mouse, Rat
Format Antigen affinity purified
Clonality Polyclonal (rabbit origin)
Isotype Rabbit IgG
Purity Antigen affinity
Buffer Lyophilized from 1X PBS with 2% Trehalose
UniProt P47895
Localization Cytoplasm
Applications Western Blot : 0.5-1ug/ml
Immunohistochemistry (FFPE) : 2-5ug/ml
Immunofluorescence : 5ug/ml
Flow Cytometry : 1-3ug/million cells
Limitations This ALDH1A3 antibody is available for research use only.
Review this product on BioCompare and get a $20 Amazon gift card

Description

ALDH1A3 (Aldehyde dehydrogenase 1 family, member A3) is a cytosolic enzyme that belongs to the aldehyde dehydrogenase superfamily, which is responsible for oxidizing aldehydes to their corresponding carboxylic acids. ALDH1A3 plays a central role in retinoic acid biosynthesis by catalyzing the conversion of retinaldehyde to retinoic acid, a signaling molecule crucial for embryonic development, tissue differentiation, and homeostasis. Researchers often use an ALDH1A3 antibody to investigate retinoid metabolism, developmental biology, and cancer pathways.

ALDH1A3 is broadly expressed in various tissues, including the brain, lung, pancreas, and liver. Its activity regulates local retinoic acid concentrations, thereby influencing gene expression through retinoic acid receptor-mediated transcription. Beyond its developmental functions, ALDH1A3 has emerged as an important biomarker in cancer biology. High expression levels have been associated with cancer stem cell populations and resistance to chemotherapy in several tumor types, including glioblastoma, pancreatic cancer, and breast cancer. Employing an ALDH1A3 antibody provides researchers with a valuable tool for detecting these subpopulations and understanding mechanisms of tumor progression.

Recent studies also suggest that ALDH1A3 contributes to metabolic adaptation by modulating lipid and glucose metabolism, further linking it to disease processes such as diabetes and metabolic syndrome. Because of its dual roles in normal physiology and disease, ALDH1A3 is an active focus in both basic and translational research. Using an ALDH1A3 antibody enables precise detection and characterization of this enzyme in contexts ranging from developmental biology to oncology.

NSJ Bioreagents offers a high-quality ALDH1A3 antibody validated for applications including western blot, immunohistochemistry, and immunofluorescence. Selecting an ALDH1A3 antibody from NSJ Bioreagents ensures consistent performance and reliable results in studies of retinoid metabolism, cancer biology, and metabolic regulation.

Application Notes

Optimal dilution of the ALDH1A3 antibody should be determined by the researcher.

Immunogen

Amino acids N37-K154 from the human protein were used as the immunogen for the ALDH1A3 antibody.

Storage

After reconstitution, the ALDH1A3 antibody can be stored for up to one month at 4oC. For long-term, aliquot and store at -20oC. Avoid repeated freezing and thawing.

Cross
Bulk Quote Request Form
Name*:
Organization*:
Email*:
Phone Number*:
Catalog No.*:
Comments and Specifics(amount, formulation, etc.)*:
Validation code: Captchapackage Image


Can't read the image? click here to refresh.
    *required field

Your bulk quote request has been submitted successfully!

Please contact us if you have any questions.