• Tel: 858.663.9055
  • SeparatorEmail: info@nsjbio.com
  • Tel: 858.663.9055
  • Email: info@nsjbio.com
Home >> Antibodies >> ALDH1A2 Antibody / Retinal dehydrogenase 2

ALDH1A2 Antibody / Retinal dehydrogenase 2 (R32466)

  Catalog No Formulation Size Price (USD)  
Image R32466 0.5mg/ml if reconstituted with 0.2ml sterile DI water 100 ug 439
Bulk quote request
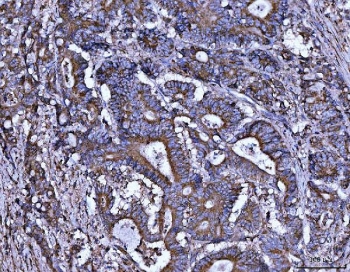
IHC staining of FFPE human colorectal adenocarcinoma tissue with ALDH1A2 antibody. HIER: boil tissue sections in pH8 EDTA for 20 min and allow to cool before testing.
IHC staining of FFPE rat lung tissue with ALDH1A2 antibody. HIER: boil tissue sections in pH8 EDTA for 20 min and allow to cool before testing.
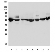
Western blot testing of 1) human K562, 2) human HepG2, 3) rat lung, 4) rat heart, 5) rat kidney, 6) mouse lung, 7) mouse kidney and 8) mouse ovary with ALDH1A2 antibody. Predicted molecular weight ~56 kDa.
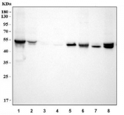
Western blot testing of 1) human K562, 2) human 293T, 3) human HepG2, 4) human HeLa, 5) rat kidney, 6) rat testis, 7) mouse kidney and 8) mouse testis with ALDH1A2 antibody. Predicted molecular weight ~56 kDa.
Flow cytometry testing of human 293T cells with ALDH1A2 antibody at 1ug/million cells (blocked with goat sera); Red=cells alone, Green=isotype control, Blue= ALDH1A2 antibody.
Availability 1-3 business days
Species Reactivity Human, Mouse, Rat
Format Antigen affinity purified
Clonality Polyclonal (rabbit origin)
Isotype Rabbit IgG
Purity Antigen affinity
Buffer Lyophilized from 1X PBS with 2% Trehalose
UniProt O94788
Applications Western Blot : 0.5-1ug/ml
Immunohistochemistry (FFPE) : 2-5ug/ml
Flow Cytometry : 1-3ug/million cells
Limitations This ALDH1A2 antibody is available for research use only.
Review this product on BioCompare and get a $20 Amazon gift card

Related Products

Description

Aldehyde dehydrogenase 1 family, member A2, also known as ALDH1A2 or retinaldehyde dehydrogenase 2 (RALDH2), is an enzyme that in humans is encoded by the ALDH1A2 gene. This protein belongs to the aldehyde dehydrogenase family of proteins. The product of this gene is an enzyme that catalyzes the synthesis of retinoic acid (RA) from retinaldehyde. Retinoic acid, the active derivative of vitamin A (retinol), is a hormonal signaling molecule that functions in developing and adult tissues. The studies of a similar mouse gene suggest that this enzyme and the cytochrome CYP26A1, concurrently establish local embryonic retinoic acid levels which facilitate posterior organ development and prevent spina bifida. Four transcript variants encoding distinct isoforms have been identified for this gene.

Application Notes

Optimal dilution of the ALDH1A2 antibody should be determined by the researcher.

Immunogen

Amino acids M1-A110 from the human protein were used as the immunogen for the ALDH1A2 antibody.

Storage

Prior to reconstitution, store at 4oC. After reconstitution, the ALDH1A2 antibody can be stored for up to one month at 4oC. For long-term, aliquot and store at -20oC. Avoid repeated freezing and thawing.

Cross
Bulk Quote Request Form
Name*:
Organization*:
Email*:
Phone Number*:
Catalog No.*:
Comments and Specifics(amount, formulation, etc.)*:
Validation code: Captchapackage Image


Can't read the image? click here to refresh.
    *required field

Your bulk quote request has been submitted successfully!

Please contact us if you have any questions.