• Tel: 858.663.9055
  • SeparatorEmail: info@nsjbio.com
  • Tel: 858.663.9055
  • Email: info@nsjbio.com
Home >> Antibodies >> Aldehyde dehydrogenase family 3 member B1 Antibody / ALDH3B1

Aldehyde dehydrogenase family 3 member B1 Antibody / ALDH3B1 (F54993)

  Catalog No Formulation Size Price (USD)  
Image F54993-0.4ML In 1X PBS, pH 7.4, with 0.09% sodium azide 0.4 ml 429
Image
F54993-0.08ML In 1X PBS, pH 7.4, with 0.09% sodium azide 0.08 ml 199
Bulk quote request
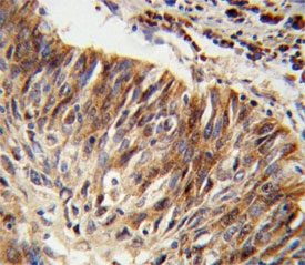
IHC testing of FFPE human lung carcinoma tissue with Aldehyde dehydrogenase family 3 member B1 antibody. HIER: steam section in pH6 citrate buffer for 20 min and allow to cool prior to staining.
Western blot testing of human 1) kidney and 2) K562 cell lysate with Aldehyde dehydrogenase family 3 member B1 antibody. Predicted molecular weight ~52 kDa.
Western blot testing of human MDA-MB-231 cell lysate with Aldehyde dehydrogenase family 3 member B1 antibody. Predicted molecular weight ~52 kDa.
Western blot testing of 1) non-transfected and 2) transfected 293 cell lysate with Aldehyde dehydrogenase family 3 member B1 antibody.
Availability 1-3 business days
Species Reactivity Human
Format Purified
Clonality Polyclonal (rabbit origin)
Isotype Rabbit Ig
Purity Antigen affinity purified
UniProt P43353
Applications Immunohistochemistry (FFPE) : 1:10-1:50
Western Blot : 1:500-1:1000
Limitations This Aldehyde dehydrogenase family 3 member B1 antibody is available for research use only.
Review this product on BioCompare and get a $20 Amazon gift card

Related Products

  • Applications : WB, ELISA (peptide)
    Reactivity : Human
    Pred. Reactivity : Cow, Dog, Mouse, Rat

Description

The aldehyde dehydrogenases are a family of isozymes that may play a major role in the detoxification of aldehydes generated by alcohol metabolism and lipid peroxidation.

Application Notes

The stated application concentrations are suggested starting points. Titration of the Aldehyde dehydrogenase family 3 member B1 antibody may be required due to differences in protocols and secondary/substrate sensitivity.

Immunogen

A portion of amino acids 334-360 from the human protein was used as the immunogen for the Aldehyde dehydrogenase family 3 member B1 antibody.

Storage

Aliquot the Aldehyde dehydrogenase family 3 member B1 antibody and store frozen at -20oC or colder. Avoid repeated freeze-thaw cycles.

Cross
Bulk Quote Request Form
Name*:
Organization*:
Email*:
Phone Number*:
Catalog No.*:
Comments and Specifics(amount, formulation, etc.)*:
Validation code: Captchapackage Image


Can't read the image? click here to refresh.
    *required field

Your bulk quote request has been submitted successfully!

Please contact us if you have any questions.