• Tel: 858.663.9055
  • SeparatorEmail: info@nsjbio.com
  • Tel: 858.663.9055
  • Email: info@nsjbio.com
Home >> Antibodies >> Aldehyde dehydrogenase 3 Antibody / ALDH3A1

Aldehyde dehydrogenase 3 Antibody / ALDH3A1 (RQ7034)

  Catalog No Formulation Size Price (USD)  
Image RQ7034 0.5mg/ml if reconstituted with 0.2ml sterile DI water 100 ug 439
Bulk quote request
Immunofluorescent staining of FFPE human A549 cells with Aldehyde dehydrogenase 3 antibody (green) and DAPI nuclear stain (blue). HIER: steam section in pH6 citrate buffer for 20 min.
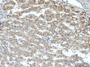
IHC staining of FFPE human liver cancer tissue with Aldehyde dehydrogenase 3 antibody. HIER: boil tissue sections in pH8 EDTA for 20 min and allow to cool before testing.
Western blot testing of human A549 cell lysate with Aldehyde dehydrogenase 3 antibody. Predicted molecular weight: ~51 kDa.
Availability 1-3 business days
Species Reactivity Human
Format Antigen affinity purified
Clonality Polyclonal (rabbit origin)
Isotype Rabbit IgG
Purity Antigen affinity purified
Buffer Lyophilized from 1X PBS with 2% Trehalose
UniProt P30838
Localization Cytoplasmic
Applications Western Blot : 0.5-1 ug/ml
Immunohistochemistry (FFPE) : 2-5ug/ml
Immunofluorescence : 5ug/ml
Direct ELISA : 0.1-0.5ug/ml
Limitations This Aldehyde dehydrogenase 3 antibody is available for research use only.
Review this product on BioCompare and get a $20 Amazon gift card

Related Products

  • Applications : WB, IHC-P
    Reactivity : Human
  • Applications : WB, IHC, ELISA (peptide)
    Reactivity : Human, Mouse
  • Applications : WB, IHC-P, FACS, Direct ELISA
    Reactivity : Human

Description

ALDH3A1 (Aldehyde Dehydrogenase, Family 3, Subfamily A, Member 1), also known as ALDH3, is an enzyme that in humans is encoded by the ALDH3A1 gene. By in situ hybridization, Hiraoka et al.(1995) mapped the ALDH3 gene to 17p11.2. ALDHs play a major role in the detoxification of alcohol-derived acetaldehyde. They are involved in the metabolism of corticosteroids, biogenic amines, neurotransmitters, and lipid peroxidation. This protein preferentially oxidizes aromatic aldehyde substrates. It may play a role in the oxidation of toxic aldehydes.

Application Notes

Optimal dilution of the Aldehyde dehydrogenase 3 antibody should be determined by the researcher.

Immunogen

Recombinant human protein (amino acids Y413-H453) was used as the immunogen for the Aldehyde dehydrogenase 3 antibody.

Storage

After reconstitution, the Aldehyde dehydrogenase 3 antibody can be stored for up to one month at 4oC. For long-term, aliquot and store at -20oC. Avoid repeated freezing and thawing.

Cross
Bulk Quote Request Form
Name*:
Organization*:
Email*:
Phone Number*:
Catalog No.*:
Comments and Specifics(amount, formulation, etc.)*:
Validation code: Captchapackage Image


Can't read the image? click here to refresh.
    *required field

Your bulk quote request has been submitted successfully!

Please contact us if you have any questions.