• Tel: 858.663.9055
  • SeparatorEmail: info@nsjbio.com
  • Tel: 858.663.9055
  • Email: info@nsjbio.com
Home >> Antibodies >> Aldehyde Dehydrogenase 1A1 Antibody / ALDH1A1

Aldehyde Dehydrogenase 1A1 Antibody / ALDH1A1 [clone 4C3] (RQ6732)

  Catalog No Formulation Size Price (USD)  
Image RQ6732 0.5mg/ml if reconstituted with 0.2ml sterile DI water 100 ug 439
Bulk quote request
Flow cytometry testing of human HepG2 cells with Aldehyde Dehydrogenase 1A1 antibody at 1ug/million cells (blocked with goat sera); Red=cells alone, Green=isotype control, Blue= Aldehyde Dehydrogenase 1A1 antibody.
Immunofluorescent staining of FFPE human A549 cells with Aldehyde Dehydrogenase 1A1 antibody (green) and DAPI nuclear stain (blue). HIER: steam section in pH6 citrate buffer for 20 min.
IHC staining of FFPE human lymphadenoma tissue with Aldehyde Dehydrogenase 1A1 antibody. HIER: boil tissue sections in pH8 EDTA for 20 min and allow to cool before testing.
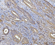
IHC staining of FFPE human gall bladder adenosquamous carcinoma tissue with Aldehyde Dehydrogenase 1A1 antibody. HIER: boil tissue sections in pH8 EDTA for 20 min and allow to cool before testing.
Western blot testing of human 1) A549 and 2) HepG2 cell lysate with Aldehyde Dehydrogenase 1A1 antibody. Predicted molecular weight ~55 kDa.
Availability 1-3 business days
Species Reactivity Human
Format Purified
Clonality Monoclonal (mouse origin)
Isotype Mouse IgG2a
Clone Name 4C3
Purity Affinity purified
Buffer Lyophilized from 1X PBS with 2% Trehalose
UniProt P00352
Localization Cytoplasmic
Applications Western Blot : 1-2ug/ml
Immunohistochemistry (FFPE) : 2-5ug/ml
Immunofluorescence (FFPE) : 5ug/ml
Flow Cytometry : 1-3ug/million cells
Limitations This Aldehyde Dehydrogenase 1A1 antibody is available for research use only.
Review this product on BioCompare and get a $20 Amazon gift card

Related Products

Description

Aldehyde dehydrogenase 1 family, member A1, also known as ALDH1A1 or retinaldehyde dehydrogenase 1 (RALDH1), is an enzyme that in humans is encoded by the ALDH1A1 gene. It is mapped to 9q21.13. The protein encoded by this gene belongs to the aldehyde dehydrogenase family. Aldehyde dehydrogenase is the next enzyme after alcohol dehydrogenase in the major pathway of alcohol metabolism. There are two major aldehyde dehydrogenase isozymes in the liver, cytosolic and mitochondrial, which are encoded by distinct genes, and can be distinguished by their electrophoretic mobility, kinetic properties, and subcellular localization. This gene encodes the cytosolic isozyme. Studies in mice show that through its role in retinol metabolism, this gene may also be involved in the regulation of the metabolic responses to high-fat diet.

Application Notes

Optimal dilution of the Aldehyde Dehydrogenase 1A1 antibody should be determined by the researcher.

Immunogen

Recombinant human protein (amino acids T6-Q342) was used as the immunogen for the Aldehyde Dehydrogenase 1A1 antibody.

Storage

After reconstitution, the Aldehyde Dehydrogenase 1A1 antibody can be stored for up to one month at 4oC. For long-term, aliquot and store at -20oC. Avoid repeated freezing and thawing.

Cross
Bulk Quote Request Form
Name*:
Organization*:
Email*:
Phone Number*:
Catalog No.*:
Comments and Specifics(amount, formulation, etc.)*:
Validation code: Captchapackage Image


Can't read the image? click here to refresh.
    *required field

Your bulk quote request has been submitted successfully!

Please contact us if you have any questions.