• Tel: 858.663.9055
  • SeparatorEmail: info@nsjbio.com
  • Tel: 858.663.9055
  • Email: info@nsjbio.com
Home >> Antibodies >> Alcohol dehydrogenase Antibody / ADH

Alcohol dehydrogenase Antibody / ADH (R32497)

  Catalog No Formulation Size Price (USD)  
Image R32497 0.5mg/ml if reconstituted with 0.2ml sterile DI water 100 ug 439
Bulk quote request
Immunofluorescent staining of FFPE human U-2 OS cells with Alcohol dehydrogenase antibody (green) and DAPI nuclear stain (blue). HIER: steam section in pH6 citrate buffer for 20 min.
Immunofluorescent staining of FFPE human U-2 OS cells with Alcohol dehydrogenase antibody (green) and DAPI nuclear stain (blue). HIER: steam section in pH6 citrate buffer for 20 min.
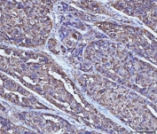
IHC testing of FFPE human liver cancer tissue with Alcohol dehydrogenase antibody. HIER: steam sections in pH6 citrate buffer for 20 min.
IHC testing of FFPE human liver cancer tissue with Alcohol dehydrogenase antibody. HIER: steam sections in pH8 EDTA buffer for 20 min.
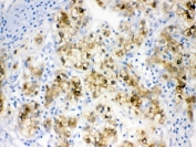
IHC testing of FFPE mouse liver tissue with Alcohol dehydrogenase antibody. HIER: steam sections in pH8 EDTA buffer for 20 min.
IHC testing of FFPE rat liver tissue with Alcohol dehydrogenase antibody. HIER: steam sections in pH8 EDTA buffer for 20 min.
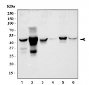
Western blot testing of 1) human HCCT, 2) human HCCP, 3) rat liver, 4) rat kidney, 5) mouse liver and 6) mouse kidney lysate with Alcohol dehydrogenase antibody at 0.5ug/ml. Predicted molecular weight ~40 kDa.
Flow cytometry testing of human U-2 OS cells with Alcohol dehydrogenase antibody at 1ug/million cells (blocked with goat sera); Red=cells alone, Green=isotype control, Blue= Alcohol dehydrogenase antibody.
Availability 1-3 business days
Species Reactivity Human, Mouse, Rat
Format Antigen affinity purified
Clonality Polyclonal (rabbit origin)
Isotype Rabbit IgG
Purity Antigen affinity
Buffer Lyophilized from 1X PBS with 2% Trehalose and 0.025% sodium azide
UniProt P07327
Localization Cytoplasmic
Applications Western Blot : 0.5-1ug/ml
Immunohistochemistry (FFPE) : 2-5ug/ml
Immunofluorescence (FFPE) : 5ug/ml
Flow Cytometry : 1-3ug/million cells
Limitations This Alcohol dehydrogenase antibody is available for research use only.
Review this product on BioCompare and get a $20 Amazon gift card

Related Products

Description

Alcohol dehydrogenase 1A is an enzyme that in humans is encoded by the ADH1A gene. This gene encodes a member of the alcohol dehydrogenase family. The encoded protein is the alpha subunit of class I alcohol dehydrogenase, which consists of several homo- and heterodimers of alpha, beta and gamma subunits. Alcohol dehydrogenases catalyze the oxidation of alcohols to aldehydes. This gene is active in the liver in early fetal life but only weakly active in adult liver. And this gene is found in a cluster with six additional alcohol dehydrogenase genes, including those encoding the beta and gamma subunits, on the long arm of chromosome 4. Mutations in this gene may contribute to variation in certain personality traits and substance dependence.

Application Notes

Differences in protocols and secondary/substrate sensitivity may require the Alcohol dehydrogenase antibody to be titrated for optimal performance.

Immunogen

Amino acids K213-F375 from human ADH1A were used as the immunogen for the Alcohol dehydrogenase antibody.

Storage

After reconstitution, the Alcohol dehydrogenase antibody can be stored for up to one month at 4oC. For long-term, aliquot and store at -20oC. Avoid repeated freezing and thawing.

Cross
Bulk Quote Request Form
Name*:
Organization*:
Email*:
Phone Number*:
Catalog No.*:
Comments and Specifics(amount, formulation, etc.)*:
Validation code: Captchapackage Image


Can't read the image? click here to refresh.
    *required field

Your bulk quote request has been submitted successfully!

Please contact us if you have any questions.