• Tel: 858.663.9055
  • SeparatorEmail: info@nsjbio.com
  • Tel: 858.663.9055
  • Email: info@nsjbio.com
Home >> Antibodies >> Alanine aminotransferase 1 Antibody

Alanine aminotransferase 1 Antibody (RQ6559)

  Catalog No Formulation Size Price (USD)  
Image RQ6559 0.5mg/ml if reconstituted with 0.2ml sterile DI water 100 ug 439
Bulk quote request
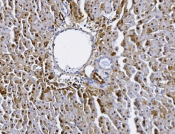
IHC staining of FFPE rat liver tissue with Alanine aminotransferase 1 antibody. HIER: boil tissue sections in pH8 EDTA for 20 min and allow to cool before testing.
IHC staining of FFPE mouse liver tissue with Alanine aminotransferase 1 antibody. HIER: boil tissue sections in pH8 EDTA for 20 min and allow to cool before testing.
Immunofluorescent staining of FFPE mouse NIH 3T3 cells with Alanine aminotransferase 1 antibody (green) and DAPI nuclear stain (blue). HIER: steam section in pH6 citrate buffer for 20 min.
Western blot testing of 1) rat heart, 2) rat kidney, 3) rat liver, 4) mouse heart, 5) mouse kidney and 6) mouse liver lysate with Alanine aminotransferase 1 antibody. Predicted molecular weight ~55 kDa.
Flow cytometry testing of mouse ANA-1 cells with Alanine aminotransferase 1 antibody at 1ug/million cells (blocked with goat sera); Red=cells alone, Green=isotype control, Blue= Alanine aminotransferase 1 antibody.
Availability 1-3 business days
Species Reactivity Mouse, Rat
Format Antigen affinity purified
Clonality Polyclonal (rabbit origin)
Isotype Rabbit IgG
Purity Affinity purified
Buffer Lyophilized from 1X PBS with 2% Trehalose
UniProt Q8QZR5
Localization Cytoplasmic, nuclear
Applications Western Blot : 1-2ug/ml
Immunofluorescence : 5ug/ml
Flow Cytometry : 1-3ug/million cells
Direct ELISA : 0.1-0.5ug/ml
Limitations This Alanine aminotransferase 1 antibody is available for research use only.
Review this product on BioCompare and get a $20 Amazon gift card

Related Products

Description

This gene encodes cytosolic alanine aminotransaminase 1 (ALT1); also known as glutamate-pyruvate transaminase 1. This enzyme catalyzes the reversible transamination between alanine and 2-oxoglutarate to generate pyruvate and glutamate and, therefore, plays a key role in the intermediary metabolism of glucose and amino acids. Serum activity levels of this enzyme are routinely used as a biomarker of liver injury caused by drug toxicity, infection, alcohol, and steatosis. A related gene on chromosome 16 encodes a putative mitochondrial alanine aminotransaminase

Application Notes

Optimal dilution of the Alanine aminotransferase 1 antibody should be determined by the researcher.

Immunogen

An E. coli-derived mouse protein (amino acids A2-S496) was used as the immunogen for the Alanine aminotransferase 1 antibody.

Storage

After reconstitution, the Alanine aminotransferase 1 antibody can be stored for up to one month at 4oC. For long-term, aliquot and store at -20oC. Avoid repeated freezing and thawing.

Cross
Bulk Quote Request Form
Name*:
Organization*:
Email*:
Phone Number*:
Catalog No.*:
Comments and Specifics(amount, formulation, etc.)*:
Validation code: Captchapackage Image


Can't read the image? click here to refresh.
    *required field

Your bulk quote request has been submitted successfully!

Please contact us if you have any questions.