• Tel: 858.663.9055
  • SeparatorEmail: info@nsjbio.com
  • Tel: 858.663.9055
  • Email: info@nsjbio.com
Home >> Antibodies >> AKT3 Antibody

AKT3 Antibody (R33341)

  Catalog No Formulation Size Price (USD)  
Image R33341-100UG 0.5 mg/ml in 1X TBS, pH7.3, with 0.5% BSA (US sourced) and 0.02% sodium azide 100 ug 449
Bulk quote request
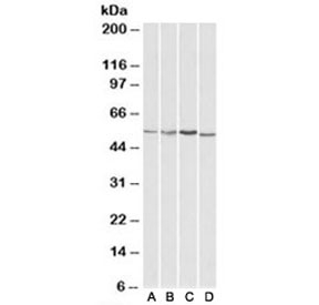
Western blot testing of HepG2 [A], Jurkat [B], mouse brain [C] and rat brain [D] lysates with AKT3 antibody at 1ug/ml. Predicted molecular weight: ~56kDa but can be observed from 60~65kDa.
Western blot of 1A) human thyroid, 2) mouse brain and 3) rat brain tissue lysate probed with AKT3 antibody. Predicted molecular weight: ~56 kDa but can be observed from 60~65 kDa.
IHC testing of FFPE human prostate tissue with AKT3 antibody at 5ug/ml. Required HIER: steamed antigen retrieval with pH6 citrate buffer; AP-staining.
IHC testing of FFPE human heart tissue with AKT3 antibody at 5ug/ml. Required HIER: steamed antigen retrieval with pH6 citrate buffer; AP-staining.
FACS testing of fixed and permeabilized human HepG2 cells with AKT3 antibody (blue) at 10ug/ml and naive goat Ig (black).
IF/ICC staining of fixed and permeabilized human ThP-1 cells with AKT3 antibody (green) at 10ug/ml and DAPI nuclear stain (blue).
IF/ICC staining of fixed and permeabilized human A431 cells with AKT3 antibody (green) at 10ug/ml and DAPI nuclear stain (blue).
Availability 1-3 business days
Species Reactivity Human, Mouse, Rat
Format Antigen affinity purified
Clonality Polyclonal (goat origin)
Isotype Goat Ig
Purity Antigen affinity
Gene ID 10000
Localization Nuclear, cytoplasmic, membrane
Applications Western Blot : 1-3ug/ml
Immunohistochemistry (FFPE) : 5ug/ml
Flow Cytometry : 10ug/ml
Immunofluorescence : 10ug/ml
ELISA (peptide) LOD : 1:16000
Limitations This AKT3 antibody is available for research use only.
Review this product on BioCompare and get a $20 Amazon gift card

Related Products

  • Applications : WB, IHC, ELISA
    Reactivity : Human, Mouse
  • Applications : DB, ELISA
    Reactivity : Human
    Pred. Reactivity : Mouse, Rat
  • Applications : IHC, WB, ELISA
    Reactivity : Human, Mouse, Primate, Rat
  • Applications : WB, ELISA
    Reactivity : Human
    Pred. Reactivity : Mouse, Rat
  • Applications : WB, Direct ELISA
    Reactivity : Human, Mouse, Rat
  • Applications : WB
    Reactivity : Zebrafish

Description

Additional name(s) for this target protein: Protein kinase Akt-3; RAC-PK-gamma

Application Notes

Optimal dilution of the AKT3 antibody should be determined by the researcher.

1. This AKT3 antibody does not react with human AKT1/2.

Immunogen

Amino acids CSPTSQIDNIGEEEM were used as the immunogen for this AKT3 antibody. (1)

Storage

Aliquot and store the AKT3 antibody at -20oC.

Cross
Bulk Quote Request Form
Name*:
Organization*:
Email*:
Phone Number*:
Catalog No.*:
Comments and Specifics(amount, formulation, etc.)*:
Validation code: Captchapackage Image


Can't read the image? click here to refresh.
    *required field

Your bulk quote request has been submitted successfully!

Please contact us if you have any questions.