• Tel: 858.663.9055
  • SeparatorEmail: info@nsjbio.com
  • Tel: 858.663.9055
  • Email: info@nsjbio.com
Home >> Antibodies >> AKT2 Antibody

AKT2 Antibody (F50043)

  Catalog No Formulation Size Price (USD)  
Image F50043-0.4ML In 1X PBS, pH 7.4, with 0.09% sodium azide 0.4 ml 429
Image
F50043-0.08ML In 1X PBS, pH 7.4, with 0.09% sodium azide 0.08 ml 199
Bulk quote request
Fluorescent confocal image of C2C12 cell stained with AKT2 antibody at 1:25. Immunoreactivity is localized to the cytoplasm.
Western blot analysis of AKT2 antibody and 293 cell lysate (2 ug/lane) either nontransfected (Lane 1) or transiently transfected with the AKT2 gene (2). Predicted molecular weight: ~56kDa.
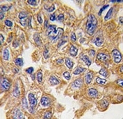
IHC analysis of FFPE human lung carcinoma tissue stained with AKT2 antibody
Availability 1-3 business days
Species Reactivity Human
Predicted Reactivity Mouse, Rat
Format Antigen affinity purified
Clonality Polyclonal (rabbit origin)
Isotype Rabbit Ig
Purity Antigen affinity
UniProt P31751
Applications Immunofluorescence : 1:10-1:50
Western Blot : 1:1000
IHC (Paraffin) : 1:10-1:50
Limitations This AKT2 antibody is available for research use only.
Review this product on BioCompare and get a $20 Amazon gift card

Related Products

  • Applications : WB, IHC, IF, ELISA
    Reactivity : Human, Mouse
  • Applications : WB
    Reactivity : Human, Rat
  • Applications : WB, IF, FACS
    Reactivity : Human
  • Applications : WB, IHC-P, IHC-F
    Reactivity : Human, Mouse, Rat
  • Applications : DB, ELISA
    Reactivity : Human
  • Applications : WB, IHC, ELISA
    Reactivity : Human, Mouse
    Pred. Reactivity : Rat
  • Applications : WB, IHC, IF, FACS, ELISA
    Reactivity : Human, Mouse
  • Applications : IHC, FACS, IF, WB, ELISA
    Reactivity : Human
    Pred. Reactivity : Mouse, Rat
  • Applications : WB, IF, FACS, IHC, ELISA
    Reactivity : Human
  • Applications : WB, FACS, IF, ELISA
    Reactivity : Human, Mouse
  • Applications : WB, ELISA (peptide)
    Reactivity : Human
    Pred. Reactivity : Dog, Mouse, Rat

Description

AKT2 is a protein belonging to a subfamily of serine/threonine kinases containing SH2-like (Src homology 2-like) domains. AKT2 has been shown to be amplified and overexpressed in 2 of 8 ovarian carcinoma cell lines and 2 of 15 primary ovarian tumors. Overexpression of AKT2 contributes to the malignant phenotype of a subset of human ductal pancreatic cancers. AKT2 is a general protein kinase capable of phophorylating several known proteins.

Application Notes

Titration of the AKT2 antibody may be required due to differences in protocols and secondary/substrate sensitivity.

Immunogen

A portion of amino acids 452-481 from the human protein was used as the immunogen for this AKT2 antibody.

Storage

Aliquot the AKT2 antibody and store frozen at -20oC or colder. Avoid repeated freeze-thaw cycles.

Cross
Bulk Quote Request Form
Name*:
Organization*:
Email*:
Phone Number*:
Catalog No.*:
Comments and Specifics(amount, formulation, etc.)*:
Validation code: Captchapackage Image


Can't read the image? click here to refresh.
    *required field

Your bulk quote request has been submitted successfully!

Please contact us if you have any questions.