• Tel: 858.663.9055
  • SeparatorEmail: info@nsjbio.com
  • Tel: 858.663.9055
  • Email: info@nsjbio.com
Home >> Antibodies >> AKR1B10 Antibody

AKR1B10 Antibody (R32646)

  Catalog No Formulation Size Price (USD)  
Image R32646 0.5mg/ml if reconstituted with 0.2ml sterile DI water 100 ug 439
Bulk quote request
Immunofluorescent staining of FFPE human A549 cells with AKR1B10 antibody (green) and DAPI nuclear stain (blue). HIER: steam section in pH6 citrate buffer for 20 min.
Western blot testing of human 1) A549 and 2) HepG2 cell lysate with AKR1B10 antibody. Predicted molecular weight ~36 kDa.
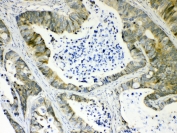
IHC testing of FFPE human intestinal cancer tissue with AKR1B10 antibody. Required HIER: steam section in pH6 citrate buffer for 20 min and allow to cool prior to testing.
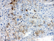
IHC testing of FFPE human liver cancer tissue with AKR1B10 antibody. Required HIER: steam section in pH6 citrate buffer for 20 min and allow to cool prior to testing.
Availability 1-3 business days
Species Reactivity Human
Format Antigen affinity purified
Clonality Polyclonal (rabbit origin)
Isotype Rabbit IgG
Purity Antigen affinity
Buffer Lyophilized from 1X PBS with 2% Trehalose and 0.025% sodium azide
UniProt O60218
Localization Cytoplasmic, secreted
Applications Western Blot : 0.5-1ug/ml
Immunohistochemistry (FFPE) : 1-2ug/ml
Immunofluorescence : 5ug/ml
Limitations This AKR1B10 antibody is available for research use only.
Review this product on BioCompare and get a $20 Amazon gift card

Related Products

  • Applications : WB, ELISA (peptide)
    Reactivity : Human

Description

Aldo-keto reductase family 1 member B10 is an enzyme that in humans is encoded by the AKR1B10 gene. This gene encodes a member of the aldo/keto reductase superfamily, which consists of more than 40 known enzymes and proteins. This member can efficiently reduce aliphatic and aromatic aldehydes, and it is less active on hexoses. It is highly expressed in adrenal gland, small intestine, and colon, and may play an important role in liver carcinogenesis.

Application Notes

Optimal dilution of the AKR1B10 antibody should be determined by the researcher.

Immunogen

Amino acids 285-316 (EMATILSFNRNWRACNVLQSSHLEDYPFNAEY) from the human protein were used as the immunogen for the AKR1B10 antibody.

Storage

After reconstitution, the AKR1B10 antibody can be stored for up to one month at 4oC. For long-term, aliquot and store at -20oC. Avoid repeated freezing and thawing.

Cross
Bulk Quote Request Form
Name*:
Organization*:
Email*:
Phone Number*:
Catalog No.*:
Comments and Specifics(amount, formulation, etc.)*:
Validation code: Captchapackage Image


Can't read the image? click here to refresh.
    *required field

Your bulk quote request has been submitted successfully!

Please contact us if you have any questions.