• Tel: 858.663.9055
  • SeparatorEmail: info@nsjbio.com
  • Tel: 858.663.9055
  • Email: info@nsjbio.com
Home >> Antibodies >> AKR1B1 Antibody / Aldose reductase

AKR1B1 Antibody / Aldose reductase (R32503)

  Catalog No Formulation Size Price (USD)  
Image R32503 0.5mg/ml if reconstituted with 0.2ml sterile DI water 100 ug 439
Bulk quote request
Flow cytometry testing of human U-2 OS cells with AKR1B1 antibody at 1ug/10^6 cells (blocked with goat sera); Red=cells alone, Green=isotype control, Blue= AKR1B1 antibody.
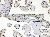
IHC testing of FFPE human placenta with AKR1B1 antibody at 1ug/ml. HIER: steam sections in pH6 citrate buffer for 20 min.
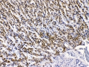
IHC testing of FFPE rat adrenal gland with AKR1B1 antibody at 1ug/ml. HIER: steam sections in pH6 citrate buffer for 20 min.
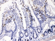
IHC testing of FFPE rat intestine with AKR1B1 antibody at 1ug/ml. HIER: steam sections in pH6 citrate buffer for 20 min.
Western blot testing of 1) human SiHa, 2) rat testis and 3) mouse NIH 3T3 cell lysate with AKR1B1 antibody at 0.5ug/ml. Predicted molecular weight ~36 kDa.
Availability 1-3 business days
Species Reactivity Human, Mouse, Rat
Format Antigen affinity purified
Clonality Polyclonal (rabbit origin)
Isotype Rabbit IgG
Purity Antigen affinity
Buffer Lyophilized from 1X PBS with 2.5% BSA and 0.025% sodium azide
UniProt P15121
Localization Cytoplasmic, nuclear
Applications Western Blot : 0.5-1ug/ml
Immunohistochemistry (FFPE) : 1-2ug/ml
Flow Cytometry : 1-3ug/10^6 cells
Limitations This AKR1B1 antibody is available for research use only.
Review this product on BioCompare and get a $20 Amazon gift card

Related Products

Description

Aldo-keto reductase family 1, member B1 (aldose reductase), also known as AR, is an enzyme that in humans is encoded by the AKR1B1 gene. This gene encodes a member of the aldo/keto reductase superfamily, which consists of more than 40 known enzymes and proteins. This member catalyzes the reduction of a number ofaldehydes, including the aldehyde form of glucose, and is thereby implicated in the development of diabetic complications by catalyzing the reduction of glucose to sorbitol.

Application Notes

Differences in protocols and secondary/substrate sensitivity may require the AKR1B1 antibody to be titrated for optimal performance.

Immunogen

Amino acids L228-F316 from the human protein were used as the immunogen for the AKR1B1 antibody.

Storage

After reconstitution, the AKR1B1 antibody can be stored for up to one month at 4oC. For long-term, aliquot and store at -20oC. Avoid repeated freezing and thawing.

Cross
Bulk Quote Request Form
Name*:
Organization*:
Email*:
Phone Number*:
Catalog No.*:
Comments and Specifics(amount, formulation, etc.)*:
Validation code: Captchapackage Image


Can't read the image? click here to refresh.
    *required field

Your bulk quote request has been submitted successfully!

Please contact us if you have any questions.