• Tel: 858.663.9055
  • SeparatorEmail: info@nsjbio.com
  • Tel: 858.663.9055
  • Email: info@nsjbio.com
Home >> Antibodies >> AKR1B1 Antibody / Aldose reductase

AKR1B1 Antibody / Aldose reductase (F54402)

  Catalog No Formulation Size Price (USD)  
Image F54402-0.4ML In 1X PBS, pH 7.4, with 0.09% sodium azide 0.4 ml 429
Image
F54402-0.08ML In 1X PBS, pH 7.4, with 0.09% sodium azide 0.08 ml 199
Bulk quote request
Western blot testing of human 1) A431 and 2) A549 cell lysate with AKR1B1 antibody. Predicted molecular weight ~36 kDa.
Western blot testing of human Jurkat cell lysate with AKR1B1 antibody. Predicted molecular weight ~36 kDa.
Western blot testing of 1) non-transfected and 2) transfected HEK293 cell lysate with AKR1B1 antibody.
Immunofluorescent staining of human HEK293 cells with AKR1B1 antibody (green) and DAPI nuclear stain (blue).
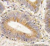
IHC testing of FFPE human colon carcinoma tissue with AKR1B1 antibody. HIER: steam section in pH6 citrate buffer for 20 min and allow to cool prior to staining.
Availability 1-3 business days
Species Reactivity Human
Format Purified
Clonality Polyclonal (rabbit origin)
Isotype Rabbit Ig
Purity SAS precipitation
UniProt P15121
Localization Cytoplasmic, nuclear
Applications Immunohistochemistry (FFPE) : 1:25
Western Blot : 1:500-1:2000
Immunofluorescence : 1:25
Limitations This AKR1B1 antibody is available for research use only.
Review this product on BioCompare and get a $20 Amazon gift card

Related Products

Description

AKR1B1 is a member of the aldo/keto reductase superfamily, which consists of more than 40 known enzymes and proteins. This protein catalyzes the reduction of a number of aldehydes, including the aldehyde form of glucose, and is thereby implicated in the development of diabetic complications by catalyzing the reduction of glucose to sorbitol.

Application Notes

The stated application concentrations are suggested starting points. Titration of the AKR1B1 antibody may be required due to differences in protocols and secondary/substrate sensitivity.

Immunogen

A portion of amino acids 102-135 from the human protein was used as the immunogen for the AKR1B1 antibody.

Storage

Aliquot the AKR1B1 antibody and store frozen at -20oC or colder. Avoid repeated freeze-thaw cycles.

Cross
Bulk Quote Request Form
Name*:
Organization*:
Email*:
Phone Number*:
Catalog No.*:
Comments and Specifics(amount, formulation, etc.)*:
Validation code: Captchapackage Image


Can't read the image? click here to refresh.
    *required field

Your bulk quote request has been submitted successfully!

Please contact us if you have any questions.