• Tel: 858.663.9055
  • SeparatorEmail: info@nsjbio.com
  • Tel: 858.663.9055
  • Email: info@nsjbio.com
Home >> Antibodies >> AKR1B1 Antibody / Aldose reductase

AKR1B1 Antibody / Aldose reductase [clone CPTC-AKR1B1-2] (V3987)

  Catalog No Formulation Size Price (USD)  
Image V3987-100UG 0.2 mg/ml in 1X PBS with 0.1 mg/ml BSA (US sourced) and 0.05% sodium azide 100 ug 539
Image
V3987-20UG 0.2 mg/ml in 1X PBS with 0.1 mg/ml BSA (US sourced) and 0.05% sodium azide 20 ug 249
Image
V3987SAF-100UG 1 mg/ml in 1X PBS; sodium azide free 100 ug 539
Image
V3987IHC-7ML Prediluted in 1X PBS with 0.1 mg/ml BSA (US sourced) and 0.05% sodium azide; *For IHC use only* 7 ml 539
Microvalidated
Bulk quote request
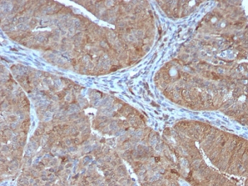
IHC testing of FFPE human prostate with AKR1B1 antibody (clone CPTC-AKR1B1-2). Required HIER: boil tissue sections in 10mM citrate buffer, pH6, for 10-20 min followed by cooling at RT for 20 min.
Analysis of HuProt(TM) microarray containing more than 19,000 full-length human proteins using AKR1B1 antibody (clone CPTC-AKR1B1-2). These results demonstrate the foremost specificity of the CPTC-AKR1B1-2 mAb.
Z- and S- score: The Z-score represents the strength of a signal that an antibody (in combination with a fluorescently-tagged anti-IgG secondary Ab) produces when binding to a particular protein on the HuProt(TM) array. Z-scores are described in units of standard deviations (SD's) above the mean value of all signals generated on that array. If the targets on the HuProt(TM) are arranged in descending order of the Z-score, the S-score is the difference (also in units of SD's) between the Z-scores. The S-score therefore represents the relative target specificity of an Ab to its intended target.
SDS-PAGE analysis of purified, BSA-free AKR1B1 antibody (clone CPTC-AKR1B1-2) as confirmation of integrity and purity.
Western blot testing of human HeLa cell lysate with AKR1B1 antibody (clone CPTC-AKR1B1-2). Predicted molecular weight ~36 kDa.
Immunofluorescent staining of human A549 cells with AKR1B1 antibody (clone CPTC-AKR1B1-2, green) and DAPI nuclear stain (blue).
Western blot testing of human HEK293 cell lysate with AKR1B1 antibody (clone CPTC-AKR1B1-2). Predicted molecular weight ~36 kDa.
Availability 1-3 business days
Species Reactivity Human
Format Purified
Clonality Monoclonal (mouse origin)
Isotype Mouse IgG1
Clone Name CPTC-AKR1B1-2
Purity Protein G affinity chromatography
UniProt P15121
Localization Cytoplasmic, nuclear
Applications Western Blot : 0.5-1ug/ml
Immunofluorescence : 1-2ug/ml
Immunohistochemistry (FFPE) : 0.5-1ug/ml for 30 min at RT
Limitations This AKR1B1 antibody is available for research use only.
Review this product on BioCompare and get a $20 Amazon gift card

Related Products

Description

AKR1B1, also deisgnated as aldose reductase, is a member of the aldo/keto reductase superfamily, which consists of more than 40 known enzymes and proteins. This protein catalyzes the reduction of a number of aldehydes, including the aldehyde form of glucose, and is thereby implicated in the development of diabetic complications by catalyzing the reduction of glucose to sorbitol. It has also been shown to have decreased expression in adrenocortical cancer, and possibly play a role in adrenal tumorigenesis. It has been suggested that AKR1B1 could be investigated as a marker of malignancy for adrenal tumor diagnosis.

Application Notes

The optimal dilution of the AKR1B1 antibody for each application should be determined by the researcher.

1. The prediluted format is supplied in a dropper bottle and is optimized for use in IHC. After epitope retrieval step (if required), drip mAb solution onto the tissue section and incubate at RT for 30 min.

Immunogen

Recombinant protein was used as the immunogen for this AKR1B1 antibody.

Storage

Store the AKR1B1 antibody at 2-8oC (with azide) or aliquot and store at -20oC or colder (without azide).

Cross
Bulk Quote Request Form
Name*:
Organization*:
Email*:
Phone Number*:
Catalog No.*:
Comments and Specifics(amount, formulation, etc.)*:
Validation code: Captchapackage Image


Can't read the image? click here to refresh.
    *required field

Your bulk quote request has been submitted successfully!

Please contact us if you have any questions.