• Tel: 858.663.9055
  • SeparatorEmail: info@nsjbio.com
  • Tel: 858.663.9055
  • Email: info@nsjbio.com
Home >> Antibodies >> AKR1A1 Antibody / Aldehyde reductase

AKR1A1 Antibody / Aldehyde reductase (F40122)

  Catalog No Formulation Size Price (USD)  
Image F40122-0.4ML In 1X PBS, pH 7.4, with 0.09% sodium azide 0.4 ml 429
Image
F40122-0.08ML In 1X PBS, pH 7.4, with 0.09% sodium azide 0.08 ml 199
Bulk quote request
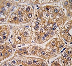
IHC analysis of FFPE human hepatocarcinoma tissue stained with AKR1A1 antibody
Western blot analysis of AKR1A1 antibody and Y79 lysate. Predicted molecular weight: ~37kDa.
Western blot analysis of AKR1A1 antibody and 293 cell lysate (2 ug/lane) either nontransfected (Lane 1) or transiently transfected (2) with the AKR1A1 gene. Predicted molecular weight: ~37kDa.
Availability 1-3 business days
Species Reactivity Human
Predicted Reactivity Mouse, Rat, Bovine, Pig
Format Purified
Clonality Polyclonal (rabbit origin)
Isotype Rabbit Ig
Purity Purified
UniProt P14550
Applications IHC (Paraffin) : 1:10-1:50
Western Blot : 1:1000
Limitations This AKR1A1 antibody is available for research use only.
Review this product on BioCompare and get a $20 Amazon gift card

Related Products

  • Applications : WB, IHC, ELISA (peptide)
    Reactivity : Human
    Pred. Reactivity : Mouse, Rat, Dog, Pig, Cow

Description

Aldehyde reductase / AKR1A1 / ALR is a member of the aldo/keto reductase superfamily, which consists of more than 40 known enzymes and proteins. This member is involved in the reduction of biogenic and xenobiotic aldehydes and is present in virtually every tissue.

Application Notes

Titration of the AKR1A1 antibody may be required due to differences in protocols and secondary/substrate sensitivity.

Immunogen

A portion of amino acids 293-325 from the human protein was used as the immunogen for this AKR1A1 antibody.

Storage

Aliquot the AKR1A1 antibody and store frozen at -20oC or colder. Avoid repeated freeze-thaw cycles.

Cross
Bulk Quote Request Form
Name*:
Organization*:
Email*:
Phone Number*:
Catalog No.*:
Comments and Specifics(amount, formulation, etc.)*:
Validation code: Captchapackage Image


Can't read the image? click here to refresh.
    *required field

Your bulk quote request has been submitted successfully!

Please contact us if you have any questions.