• Tel: 858.663.9055
  • SeparatorEmail: info@nsjbio.com
  • Tel: 858.663.9055
  • Email: info@nsjbio.com
Home >> Antibodies >> AK2 Antibody / Adenylate kinase 2

AK2 Antibody / Adenylate kinase 2 (R32502)

  Catalog No Formulation Size Price (USD)  
Image R32502 0.5mg/ml if reconstituted with 0.2ml sterile DI water 100 ug 439
Bulk quote request
Immunofluorescent staining of FFPE human U-2 OS cells with AK2 antibody (green) and DAPI nuclear stain (blue). HIER: steam section in pH6 citrate buffer for 20 min.
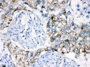
IHC testing of FFPE human lung with AK2 antibody at 1ug/ml. HIER: steam sections in pH6 citrate buffer for 20 min.
IHC testing of FFPE mouse kidney with AK2 antibody at 1ug/ml. HIER: steam sections in pH6 citrate buffer for 20 min.
IHC testing of FFPE rat liver with AK2 antibody at 1ug/ml. HIER: steam sections in pH6 citrate buffer for 20 min.
Western blot testing of 1) rat liver, 2) mouse kidney and 3) human HeLa lysate with AK2 antibody at 0.5ug/ml. Predicted molecular weight ~26 kDa.
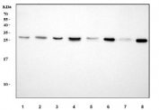
Western blot testing of 1) human HeLa, 2) human HL60, 3) human 293T, 4) human HepG2, 5) rat heart, 6) rat liver, 7) mouse heart and 8) mouse liver tissue lysate with AK2 antibody. Predicted molecular weight ~26 kDa.
Availability 1-3 business days
Species Reactivity Human, Mouse, Rat
Format Antigen affinity purified
Clonality Polyclonal (rabbit origin)
Isotype Rabbit IgG
Purity Antigen affinity
Buffer Lyophilized from 1X PBS with 2.5% BSA and 0.025% sodium azide
UniProt P54819
Localization Cytoplasmic, membranous
Applications Western Blot : 0.5-1ug/ml
Immunohistochemistry (FFPE) : 1-2ug/ml
Immunofluorescence (FFPE) : 2-4ug/ml
Limitations This AK2 antibody is available for research use only.
Review this product on BioCompare and get a $20 Amazon gift card

Related Products

Description

Adenylate kinase 2 is an enzyme is encoded in humans by the AK2 gene. The AK2 protein is found in the intermembrane space of the mitochondrion. Adenylate kinases are involved in regulating the adenine nucleotide composition within a cell by catalyzing the reversible transfer of phosphate groups among adenine nucleotides. Three isozymes of adenylate kinase, namely 1, 2, and 3, have been identified in vertebrates; this gene encodes isozyme 2. Expression of these isozymes is tissue-specific and developmentally regulated. Isozyme 2 is localized in the mitochondrial intermembrane space and may play a role in apoptosis. Mutations in this gene are the cause of reticular dysgenesis. Alternate splicing results in multiple transcript variants. Pseudogenes of this gene are found on chromosomes 1 and 2.

Application Notes

Differences in protocols and secondary/substrate sensitivity may require the AK2 antibody to be titrated for optimal performance.

Immunogen

Amino acids E161-I239 from the human protein were used as the immunogen for the AK2 antibody.

Storage

After reconstitution, the AK2 antibody can be stored for up to one month at 4oC. For long-term, aliquot and store at -20oC. Avoid repeated freezing and thawing.

Cross
Bulk Quote Request Form
Name*:
Organization*:
Email*:
Phone Number*:
Catalog No.*:
Comments and Specifics(amount, formulation, etc.)*:
Validation code: Captchapackage Image


Can't read the image? click here to refresh.
    *required field

Your bulk quote request has been submitted successfully!

Please contact us if you have any questions.