• Tel: 858.663.9055
  • SeparatorEmail: info@nsjbio.com
  • Tel: 858.663.9055
  • Email: info@nsjbio.com
Home >> Antibodies >> AK1 Antibody / Adenylate Kinase 1

AK1 Antibody / Adenylate Kinase 1 (R32501)

  Catalog No Formulation Size Price (USD)  
Image R32501 0.5mg/ml if reconstituted with 0.2ml sterile DI water 100 ug 439
Bulk quote request
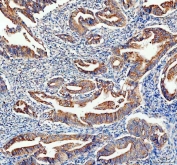
IHC staining of FFPE human lung adenocarcinoma tissue with AK1 antibody. HIER: boil tissue sections in pH8 EDTA for 20 min and allow to cool before testing.
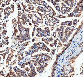
IHC staining of FFPE human colon cancer tissue with AK1 antibody. HIER: boil tissue sections in pH8 EDTA for 20 min and allow to cool before testing.
IHC staining of FFPE mouse heart tissue with AK1 antibody. HIER: boil tissue sections in pH8 EDTA for 20 min and allow to cool before testing.
IHC staining of FFPE rat heart tissue with AK1 antibody. HIER: boil tissue sections in pH8 EDTA for 20 min and allow to cool before testing.
Western blot testing of 1) human HeLa, 2) human SiHa, 3) rat heart, 4) mouse lung and 5) mouse heart tissue lysate with AK1 antibody. Predicted molecular weight ~22 kDa.
Flow cytometry testing of human PC-3 cells with AK1 antibody at 1ug/million cells (blocked with goat sera); Red=cells alone, Green=isotype control, Blue= AK1 antibody.
Availability 1-3 business days
Species Reactivity Human, Mouse, Rat
Format Antigen affinity purified
Clonality Polyclonal (rabbit origin)
Isotype Rabbit IgG
Purity Antigen affinity
Buffer Lyophilized from 1X PBS with 2% Trehalose
UniProt P00568
Localization Cytoplasmic
Applications Western Blot : 0.5-1ug/ml
Immunohistochemistry (FFFPE) : 2-5ug/ml
Flow Cytometry : 1-3ug/million cells
Limitations This AK1 antibody is available for research use only.
Review this product on BioCompare and get a $20 Amazon gift card

Description

This gene encodes an adenylate kinase enzyme involved in energy metabolism and homeostasis of cellular adenine nucleotide ratios in different intracellular compartments. This gene is highly expressed in skeletal muscle, brain and erythrocytes. Certain mutations in this gene resulting in a functionally inadequate enzyme are associated with a rare genetic disorder causing nonspherocytic hemolytic anemia. Alternative splicing of this gene results in multiple transcript variants encoding different isoforms.

Application Notes

Differences in protocols and secondary/substrate sensitivity may require the AK1 antibody to be titrated for optimal performance.

Immunogen

Amino acids 149-189 (RLETYYKATEPVIAFYEKRGIVRKVNAEGSVDSVFSQVCTH) from the human protein were used as the immunogen for the AK1 antibody.

Storage

After reconstitution, the AK1 antibody can be stored for up to one month at 4oC. For long-term, aliquot and store at -20oC. Avoid repeated freezing and thawing.

Cross
Bulk Quote Request Form
Name*:
Organization*:
Email*:
Phone Number*:
Catalog No.*:
Comments and Specifics(amount, formulation, etc.)*:
Validation code: Captchapackage Image


Can't read the image? click here to refresh.
    *required field

Your bulk quote request has been submitted successfully!

Please contact us if you have any questions.