• Tel: 858.663.9055
  • SeparatorEmail: info@nsjbio.com
  • Tel: 858.663.9055
  • Email: info@nsjbio.com
Home >> Antibodies >> AIM2 Antibody

AIM2 Antibody (R34079)

  Catalog No Formulation Size Price (USD)  
Image R34079-100UG 0.5 mg/ml in 1X TBS, pH7.3, with 0.5% BSA (US sourced) and 0.02% sodium azide 100 ug 449
Bulk quote request
Western blot testing of IFNb-treated WI-38 lysate with AIM2 antibody at 1ug/ml. Predicted molecular weight: 40~45kDa.
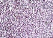
IHC staining of FFPE human spleen with AIM2 antibody at 4ug/ml. HIER: steamed with pH6 citrate buffer, AP-staining.
Availability 1-3 business days
Species Reactivity Human
Format Antigen affinity purified
Clonality Polyclonal (goat origin)
Isotype Goat Ig
Purity Antigen affinity
Gene ID 9447
Localization Cytoplasmic, membrane, nuclear
Applications Western Blot : 1-3ug/ml
Immunohistochemistry (FFPE) : 4-6ug/ml
ELISA (peptide) LOD : 1:8000
Limitations This AIM2 antibody is available for research use only.
Review this product on BioCompare and get a $20 Amazon gift card

Related Products

  • Applications : WB, ELISA
    Reactivity : Human
  • Applications : WB, FACS, IF, ELISA
    Reactivity : Human
  • Applications : WB, ELISA (peptide)
    Reactivity : Human
  • Applications : WB, IHC-P
    Reactivity : Human, Mouse, Rat
  • Applications : WB, FACS, Direct ELISA
    Reactivity : Mouse

Description

Additional name(s) for this target protein: Absent in melanoma 2

Application Notes

Optimal dilution of the AIM2 antibody should be determined by the researcher.

Immunogen

Amino acids GEKLQLTSGVHSTIK were used as the immunogen for this AIM2 antibody.

Storage

Aliquot and store the AIM2 antibody at -20oC.

Cross
Bulk Quote Request Form
Name*:
Organization*:
Email*:
Phone Number*:
Catalog No.*:
Comments and Specifics(amount, formulation, etc.)*:
Validation code: Captchapackage Image


Can't read the image? click here to refresh.
    *required field

Your bulk quote request has been submitted successfully!

Please contact us if you have any questions.