• Tel: 858.663.9055
  • SeparatorEmail: info@nsjbio.com
  • Tel: 858.663.9055
  • Email: info@nsjbio.com
Home >> Antibodies >> AIM2 Antibody

AIM2 Antibody (R31802)

  Catalog No Formulation Size Price (USD)  
Image R31802 0.5mg/ml if reconstituted with 0.2ml sterile DI water 100 ug 439
Bulk quote request
Western blot testing of 1) human Raji and 2) mouse NIH3T3 cell lysate with AIM2 antibody. Expected molecular weight: 40-45 kDa.
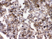
IHC testing of FFPE human lung cancer tissue with AIM2 antibody. HIER: Boil the paraffin sections in pH 6, 10mM citrate buffer for 20 minutes and allow to cool prior to staining.
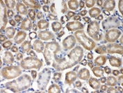
IHC testing of FFPE mouse kidney with AIM2 antibody. HIER: Boil the paraffin sections in pH 6, 10mM citrate buffer for 20 minutes and allow to cool prior to staining.
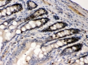
IHC testing of FFPE rat intestine with AIM2 antibody. HIER: Boil the paraffin sections in pH 6, 10mM citrate buffer for 20 minutes and allow to cool prior to staining.
Availability 1-3 business days
Species Reactivity Human, Mouse, Rat
Format Antigen affinity purified
Clonality Polyclonal (rabbit origin)
Isotype Rabbit IgG
Purity Antigen affinity
Buffer Lyophilized from 1X PBS with 2.5% BSA and 0.025% sodium azide
UniProt O14862
Localization Cytoplasmic, membrane, nuclear
Applications Western Blot : 0.1-0.5ug/ml
Immunohistochemistry (FFPE) : 0.5-1ug/ml
Limitations This AIM2 antibody is available for research use only.
Review this product on BioCompare and get a $20 Amazon gift card

Related Products

  • Applications : WB, ELISA
    Reactivity : Human
  • Applications : WB, FACS, IF, ELISA
    Reactivity : Human
  • Applications : WB, ELISA (peptide)
    Reactivity : Human
  • Applications : WB, IHC, ELISA (peptide)
    Reactivity : Human
  • Applications : WB, FACS, Direct ELISA
    Reactivity : Mouse

Description

Absent In Melanoma 2 is a protein that in humans is encoded by the AIM2 gene. AIM2 is a member of the Ifi202/IFI16 family. It plays a putative role in tumorigenic reversion and may control cell proliferation. Interferon-gamma induces expression of AIM2. Though there has been virtually no biochemistry performed, a model based on cell-based or in vivo experiments has led to the current model of how AIM2 triggers the inflammasome. The C-terminal HIN domain binds double stranded DNA (either viral, bacterial, or even host) and acts as a cytosolic dsDNA sensor. This leads to the oligomerization of the inflammasome complex. The N-terminal pyrin domain of AIM2 interacts with the pyrin domain of another protein ASC (or Apoptosis-associated Speck-like protein containing a caspase activation and recruitment domain). ASC also contains a CARD domain (caspase activation and recruitment domain), that recruits procaspase-1 to the complex. This leads to the autoactivation of caspase-1, an enzyme that processes proinflammatory cytokines (IL-1b and IL-18).

Application Notes

Optimal dilution of the AIM2 antibody should be determined by the researcher.

Immunogen

Amino acids 14-215 of human AIM2 were used as the immunogen for the AIM2 antibody.

Storage

After reconstitution, the AIM2 antibody can be stored for up to one month at 4oC. For long-term, aliquot and store at -20oC. Avoid repeated freezing and thawing.

Cross
Bulk Quote Request Form
Name*:
Organization*:
Email*:
Phone Number*:
Catalog No.*:
Comments and Specifics(amount, formulation, etc.)*:
Validation code: Captchapackage Image


Can't read the image? click here to refresh.
    *required field

Your bulk quote request has been submitted successfully!

Please contact us if you have any questions.