• Tel: 858.663.9055
  • SeparatorEmail: info@nsjbio.com
  • Tel: 858.663.9055
  • Email: info@nsjbio.com
Home >> Antibodies >> AIBZIP Antibody

AIBZIP Antibody (R35151)

  Catalog No Formulation Size Price (USD)  
Image R35151-100UG 0.5 mg/ml in 1X TBS, pH7.3, with 0.5% BSA (US sourced) and 0.02% sodium azide 100 ug 449
Bulk quote request
IF/ICC staining of fixed and permeabilized human A431 cells with AIBZIP antibody (green) at 10ug/ml and DAPI nuclear stain (blue).
IF/ICC staining of fixed and permeabilized human U-2 OS cells with AIBZIP antibody (green) at 10ug/ml and DAPI nuclear stain (blue).
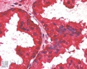
IHC staining of FFPE human prostate with AIBZIP antibody at 2.5ug/ml. HIER: steamed with pH6 citrate buffer, AP-staining.
Western blot testing of human A) kidney and B) placenta tissue lysate with AIBZIP antibody at 0.5ug/ml. Predicted molecular weight: ~45 kDa.
Western blot testing of human A) MDA-MB-231, B) A431 and C) MCF7 cell lysate with AIBZIP antibody. Predicted molecular weight: ~45 kDa.
FACS testing of fixed and permeabilized human A431 cells with AIBZIP antibody (blue) at 10ug/ml and naive goat Ig (black).
Availability 1-3 business days
Species Reactivity Human
Format Antigen affinity purified
Clonality Polyclonal (goat origin)
Isotype Goat Ig
Purity Antigen affinity
Gene ID 148327
Applications Western Blot : 0.03-0.5ug/ml
Immunohistochemistry (FFPE) : 2-4ug/ml
Immunofluorescence : 10ug/ml
Flow Cytometry : 10ug/ml
ELISA (peptide) LOD : 1:32000
Limitations This AIBZIP antibody is available for research use only.
Review this product on BioCompare and get a $20 Amazon gift card

Related Products

Description

Additional name(s) for this target protein: Androgen induced basic leucine zipper, CREB3L4

Application Notes

Optimal dilution of the AIBZIP antibody should be determined by the researcher.

Immunogen

Amino acids PSGRIRSVLHADEM were used as the immunogen for this AIBZIP antibody.

Storage

Aliquot and store the AIBZIP antibody at -20oC.

Cross
Bulk Quote Request Form
Name*:
Organization*:
Email*:
Phone Number*:
Catalog No.*:
Comments and Specifics(amount, formulation, etc.)*:
Validation code: Captchapackage Image


Can't read the image? click here to refresh.
    *required field

Your bulk quote request has been submitted successfully!

Please contact us if you have any questions.