• Tel: 858.663.9055
  • SeparatorEmail: info@nsjbio.com
  • Tel: 858.663.9055
  • Email: info@nsjbio.com
Home >> Antibodies >> AHSA1 Antibody / AHA1

AHSA1 Antibody / AHA1 (RQ6997)

  Catalog No Formulation Size Price (USD)  
Image RQ6997 0.5mg/ml if reconstituted with 0.2ml sterile DI water 100 ug 439
Bulk quote request
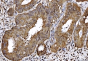
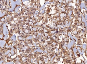
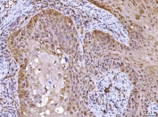
IHC staining of FFPE human breast infiltrating ductal carcinoma tissue with AHSA1 antibody. HIER: boil tissue sections in pH8 EDTA for 20 min and allow to cool before testing.
IHC staining of FFPE human endometrial cancer tissue with AHSA1 antibody. HIER: boil tissue sections in pH8 EDTA for 20 min and allow to cool before testing.
IHC staining of FFPE human colorectal adenocarcinoma tissue with AHSA1 antibody. HIER: boil tissue sections in pH8 EDTA for 20 min and allow to cool before testing.
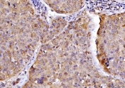
IHC staining of FFPE human laryngeal squamous cell carcinoma tissue with AHSA1 antibody. HIER: boil tissue sections in pH8 EDTA for 20 min and allow to cool before testing.
IHC staining of FFPE human liver cancer tissue with AHSA1 antibody. HIER: boil tissue sections in pH8 EDTA for 20 min and allow to cool before testing.
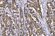
IHC staining of FFPE mouse testis tissue with AHSA1 antibody. HIER: boil tissue sections in pH8 EDTA for 20 min and allow to cool before testing.
IHC staining of FFPE rat testis tissue with AHSA1 antibody. HIER: boil tissue sections in pH8 EDTA for 20 min and allow to cool before testing.
Immunofluorescent staining of FFPE human A431 cells with AHSA1 antibody (green) and DAPI nuclear stain (blue). HIER: steam section in pH6 citrate buffer for 20 min.
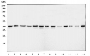
Western blot testing of 1) human A549, 2) human Daudi, 3) human HepG2, 4) human Caco-2, 5) human MOLT4, 6) human Jurkat, 7) rat testis, 8) rat brain, 9) rat kidney, 10) rat C6, 11) mouse brain, 12) mouse kidney and 13) mouse NIH 3T3 cell lysate with AHSA1 antibody. Predicted molecular weight ~38 kDa.
Flow cytometry testing of human HepG2 cells with AHSA1 antibody at 1ug/million cells (blocked with goat sera); Red=cells alone, Green=isotype control, Blue= AHSA1 antibody.
Availability 1-3 business days
Species Reactivity Human, Mouse, Rat
Format Antigen affinity purified
Clonality Polyclonal (rabbit origin)
Isotype Rabbit IgG
Purity Antigen affinity purified
Buffer Lyophilized from 1X PBS with 2% Trehalose
UniProt O95433
Localization Cytoplasmic
Applications Western Blot : 0.5-1 ug/ml
Immunohistochemistry (FFPE) : 2-5ug/ml
Immunofluorescence : 5ug/ml
Flow Cytometry : 1-3ug/million cells
Direct ELISA : 0.1-0.5ug/ml
Limitations This AHSA1 antibody is available for research use only.
Review this product on BioCompare and get a $20 Amazon gift card

Related Products

  • Applications : WB, ELISA
    Reactivity : Human, Monkey

Description

Activator of 90 kDa heat shock protein ATPase homolog 1 is an enzyme that in humans is encoded by the AHSA1 gene. The International Radiation Hybrid Mapping Consortium mapped the AHSA1 gene to chromosome 14. It acts as a co-chaperone of HSP90AA1. AHSA1 competes with the inhibitory co-chaperone FNIP1 for binding to HSP90AA1, thereby providing a reciprocal regulatory mechanism for chaperoning of client proteins

Application Notes

Optimal dilution of the AHSA1 antibody should be determined by the researcher.

Immunogen

Recombinant human protein (amino acids E221-L264) was used as the immunogen for the AHSA1 antibody.

Storage

After reconstitution, the AHSA1 antibody can be stored for up to one month at 4oC. For long-term, aliquot and store at -20oC. Avoid repeated freezing and thawing.

Cross
Bulk Quote Request Form
Name*:
Organization*:
Email*:
Phone Number*:
Catalog No.*:
Comments and Specifics(amount, formulation, etc.)*:
Validation code: Captchapackage Image


Can't read the image? click here to refresh.
    *required field

Your bulk quote request has been submitted successfully!

Please contact us if you have any questions.