• Tel: 858.663.9055
  • SeparatorEmail: info@nsjbio.com
  • Tel: 858.663.9055
  • Email: info@nsjbio.com
Home >> Antibodies >> AHCYL1 Antibody / IRBIT

AHCYL1 Antibody / IRBIT [clone 2E7D9] (RQ7643)

  Catalog No Formulation Size Price (USD)  
Image RQ7643 0.5mg/ml if reconstituted with 0.2ml sterile DI water 100 ug 439
Bulk quote request
Flow cytometry testing of human K562 cells with AHCYL1 antibody at 1ug/million cells (blocked with goat sera); Red=cells alone, Green=isotype control, Blue= AHCYL1 antibody.
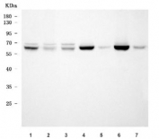
Western blot testing of 1) human HeLa, 2) human 293T, 3) human MCF7, 4) rat brain, 5) rat pancreas, 6) mouse brain and 7) mouse pancreas tissue lysate with AHCYL1 antibody. Predicted molecular weight ~59 kDa.
Availability 1-3 business days
Species Reactivity Human, Mouse, Rat
Format Antigen affinity purified
Clonality Monoclonal (mouse origin)
Isotype Mouse IgG1
Clone Name 2E7D9
Purity Antigen affinity purified
Buffer Lyophilized from 1X PBS with 2% Trehalose
UniProt O43865
Applications Western Blot : 0.5-1ug/ml
Flow Cytometry : 1-3ug/million cells
Limitations This AHCYL1 antibody is available for research use only.
Review this product on BioCompare and get a $20 Amazon gift card

Related Products

  • Applications : WB, IHC-P, IF, FACS, Direct ELISA
    Reactivity : Human, Mouse, Rat

Description

Putative adenosylhomocysteinase 2 is an enzyme that in humans is encoded by the AHCYL1 gene. The protein encoded by this gene interacts with inositol 1,4,5-trisphosphate receptor, type 1 and may be involved in the conversion of S-adenosyl-L-homocysteine to L-homocysteine and adenosine. Several transcript variants encoding two different isoforms have been found for this gene.

Application Notes

Optimal dilution of the AHCYL1 antibody should be determined by the researcher.

Immunogen

E. coli-derived recombinant human protein (amino acids E14-K57) was used as the immunogen for the AHCYL1 antibody.

Storage

After reconstitution, the AHCYL1 antibody can be stored for up to one month at 4oC. For long-term, aliquot and store at -20oC. Avoid repeated freezing and thawing.

Cross
Bulk Quote Request Form
Name*:
Organization*:
Email*:
Phone Number*:
Catalog No.*:
Comments and Specifics(amount, formulation, etc.)*:
Validation code: Captchapackage Image


Can't read the image? click here to refresh.
    *required field

Your bulk quote request has been submitted successfully!

Please contact us if you have any questions.