• Tel: 858.663.9055
  • SeparatorEmail: info@nsjbio.com
  • Tel: 858.663.9055
  • Email: info@nsjbio.com
Home >> Antibodies >> AGRP Antibody

AGRP Antibody (RQ4011)

  Catalog No Formulation Size Price (USD)  
Image RQ4011 0.5mg/ml if reconstituted with 0.2ml sterile DI water 100 ug 439
Bulk quote request
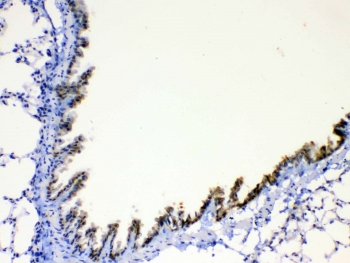
IHC testing of FFPE mouse lung tissue with AGRP antibody at 1ug/ml. Required HIER: steam section in pH6 citrate buffer for 20 min and allow to cool prior to testing.
IHC testing of FFPE rat lung tissue with AGRP antibody at 1ug/ml. Required HIER: steam section in pH6 citrate buffer for 20 min and allow to cool prior to testing.
IHC testing of FFPE rat testis tissue with AGRP antibody at 1ug/ml. Required HIER: steam section in pH6 citrate buffer for 20 min and allow to cool prior to testing.
Availability 1-3 business days
Species Reactivity Human, Mouse, Rat
Format Antigen affinity purified
Clonality Polyclonal (rabbit origin)
Isotype Rabbit IgG
Purity Antigen affinity purified
Buffer Lyophilized from 1X PBS with 2% Trehalose and 0.025% sodium azide
UniProt P56473
Localization Cytoplasmic, secreted
Applications IHC (FFPE) : 1-2ug/ml
Direct ELISA : 0.1-0.5ug/ml
Limitations This AGRP antibody is available for research use only.
Review this product on BioCompare and get a $20 Amazon gift card

Related Products

  • Applications : IHC, ELISA (peptide)
    Reactivity : Human
    Pred. Reactivity : Dog, Pig

Description

Agouti-related protein (AgRP), also called agouti-related peptide, is a neuropeptide produced in the brain by the AgRP/NPY neuron. In humans, the agouti-related peptide is encoded by the AGRP gene. This gene encodes an antagonist of the melanocortin-3 and melanocortin-4 receptor. It appears to regulate hypothalamic control of feeding behavior via melanocortin receptor and/or intracellular calcium regulation, and thus plays a role in weight homeostasis. Mutations in this gene have been associated with late on-set obesity.

Application Notes

Optimal dilution of the AGRP antibody should be determined by the researcher.

Immunogen

A recombinant mouse partial protein corresponding to amino acids S82-T131 was used as the immunogen for the AGRP antibody.

Storage

After reconstitution, the AGRP antibody can be stored for up to one month at 4oC. For long-term, aliquot and store at -20oC. Avoid repeated freezing and thawing.

Cross
Bulk Quote Request Form
Name*:
Organization*:
Email*:
Phone Number*:
Catalog No.*:
Comments and Specifics(amount, formulation, etc.)*:
Validation code: Captchapackage Image


Can't read the image? click here to refresh.
    *required field

Your bulk quote request has been submitted successfully!

Please contact us if you have any questions.