• Tel: 858.663.9055
  • SeparatorEmail: info@nsjbio.com
  • Tel: 858.663.9055
  • Email: info@nsjbio.com
Home >> Antibodies >> AGO2 Antibody / Argonaute 2

AGO2 Antibody / Argonaute 2 (R32463)

  Catalog No Formulation Size Price (USD)  
Image R32463 0.5mg/ml if reconstituted with 0.2ml sterile DI water 100 ug 439
Bulk quote request
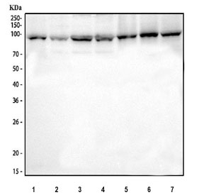
Western blot testing of 1) human Jurkat, 2) human 293T, 3) human K562, 4) human MCF7, 5) rat lung, 6) rat pancreas and 7) mouse pancreas tissue lysate with AGO2 antibody at 0.5ug/ml. Expected molecular weight ~97 kDa.
Availability 1-3 business days
Species Reactivity Human, Mouse, Rat
Format Antigen affinity purified
Clonality Polyclonal (rabbit origin)
Isotype Rabbit IgG
Purity Antigen affinity
Buffer Lyophilized from 1X PBS with 2% Trehalose
UniProt Q9UKV8
Applications Western Blot : 0.5-1ug/ml
Limitations This AGO2 antibody is available for research use only.
Review this product on BioCompare and get a $20 Amazon gift card

Description

Protein argonaute-2, also known as AGO2, is a protein that in humans is encoded by the EIF2C2 gene. This gene encodes a member of the Argonaute family of proteins which play a role in RNA interference. The encoded protein is highly basic, and contains a PAZ domain and a PIWI domain. It may interact with dicer1 and play a role in short-interfering-RNA-mediated gene silencing. Multiple transcript variants encoding different isoforms have been found for this gene.

Application Notes

Optimal dilution of the AGO2 antibody should be determined by the researcher.

Immunogen

Amino acids KVSIKWVSCVSLQALHDALSGRLPSVPFETIQALDVVMRHL from the human protein were used as the immunogen for the AGO2 antibody.

Storage

Prior to reconstitution, store at 4oC. After reconstitution, the AGO2 antibody can be stored for up to one month at 4oC. For long-term, aliquot and store at -20oC. Avoid repeated freezing and thawing.

Cross
Bulk Quote Request Form
Name*:
Organization*:
Email*:
Phone Number*:
Catalog No.*:
Comments and Specifics(amount, formulation, etc.)*:
Validation code: Captchapackage Image


Can't read the image? click here to refresh.
    *required field

Your bulk quote request has been submitted successfully!

Please contact us if you have any questions.