• Tel: 858.663.9055
  • SeparatorEmail: info@nsjbio.com
  • Tel: 858.663.9055
  • Email: info@nsjbio.com
Home >> Antibodies >> AGFG1 Antibody

AGFG1 Antibody (R32132)

  Catalog No Formulation Size Price (USD)  
Image R32132 0.5mg/ml if reconstituted with 0.2ml sterile DI water 100 ug 439
Bulk quote request
Immunofluorescent staining of FFPE human U-2 OS cells with AGFG1 antibody (green) and DAPI nuclear stain (blue). HIER: steam section in pH6 citrate buffer for 20 min.
Flow cytometry testing of human SiHa cells with AGFG1 antibody at 1ug/million cells (blocked with goat sera); Red=cells alone, Green=isotype control, Blue= AGFG1 antibody.
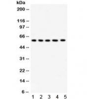
Western blot testing of 1) rat testis, 2) rat liver, 3) human placenta, 4) MCF7 and 5) HeLa lysate with AGFG1 antibody. Expected/observed molecular weight ~58 kDa.
Availability 1-3 business days
Species Reactivity Human, Rat
Format Antigen affinity purified
Clonality Polyclonal (rabbit origin)
Isotype Rabbit IgG
Purity Antigen affinity
Buffer Lyophilized from 1X PBS with 2.5% BSA and 0.025% sodium azide
UniProt P52594
Applications Western Blot : 0.1-0.5ug/ml
Immunofluorescence (FFPE) : 2-4ug/ml
Flow Cytometry : 1-3ug/million cells
Limitations This AGFG1 antibody is available for research use only.
Review this product on BioCompare and get a $20 Amazon gift card

Description

Arf-GAP domain and FG repeats-containing protein 1 is aprotein that in humans is encoded by the AGFG1 gene. AGFG1 is located to 2q36.3. The protein encoded by this gene is related to nucleoporins, a class of proteins that mediate nucleocytoplasmic transport. The encoded protein binds the activation domain of the human immunodeficiency virus Rev protein when Rev is assembled onto its RNA target, and is required for the nuclear export of Rev-directed RNAs. Several alternatively spliced transcript variants of this gene have been described, but the full-length nature of some of these variants has not been determined.

Application Notes

Optimal dilution of the AGFG1 antibody should be determined by the researcher.

Immunogen

Amino acids AKRKQEEKHLKMLRDMTGLPHNRK of human AGFG1 were used as the immunogen for the AGFG1 antibody.

Storage

After reconstitution, the AGFG1 antibody can be stored for up to one month at 4oC. For long-term, aliquot and store at -20oC. Avoid repeated freezing and thawing.

Cross
Bulk Quote Request Form
Name*:
Organization*:
Email*:
Phone Number*:
Catalog No.*:
Comments and Specifics(amount, formulation, etc.)*:
Validation code: Captchapackage Image


Can't read the image? click here to refresh.
    *required field

Your bulk quote request has been submitted successfully!

Please contact us if you have any questions.