• Tel: 858.663.9055
  • SeparatorEmail: info@nsjbio.com
  • Tel: 858.663.9055
  • Email: info@nsjbio.com
Home >> Antibodies >> AGAP4 Antibody / AGAP8

AGAP4 Antibody / AGAP8 (F54390)

  Catalog No Formulation Size Price (USD)  
Image F54390-0.4ML In 1X PBS, pH 7.4, with 0.09% sodium azide 0.4 ml 429
Image
F54390-0.08ML In 1X PBS, pH 7.4, with 0.09% sodium azide 0.08 ml 199
Bulk quote request
Western blot testing of human HT-1080 cell lysate with AGAP4 antibody. Predicted molecular weight ~73 kDa.
IHC testing of FFPE human liver tissue with AGAP4 antibody. HIER: steam section in pH6 citrate buffer for 20 min and allow to cool prior to staining.
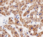
IHC testing of FFPE mouse liver tissue with AGAP4 antibody. HIER: steam section in pH6 citrate buffer for 20 min and allow to cool prior to staining.
Immunofluorescent staining of fixed and permeabilized human HeLa cells with AGAP4 antibody (green) and anti-Actin (red).
Flow cytometry testing of fixed and permeabilized human MCF7 cells with AGAP4 antibody; Blue=isotype control, Green= AGAP4 antibody.
Availability 1-3 business days
Species Reactivity Human
Format Purified
Clonality Polyclonal (rabbit origin)
Isotype Rabbit Ig
Purity Antigen affinity purified
UniProt Q96P64
Applications Immunohistochemistry (FFPE) : 1:25
Immunofluorescence : 1:25
Flow Cytometry : 1:25 (1x10e6 cells)
Western Blot : 1:500-1:2000
Limitations This AGAP4 antibody is available for research use only.
Review this product on BioCompare and get a $20 Amazon gift card

Description

Putative GTPase-activating protein (Potential).

Application Notes

The stated application concentrations are suggested starting points. Titration of the AGAP4 antibody may be required due to differences in protocols and secondary/substrate sensitivity.

Immunogen

A portion of amino acids 498-531 from the human protein was used as the immunogen for the AGAP4 antibody.

Storage

Aliquot the AGAP4 antibody and store frozen at -20oC or colder. Avoid repeated freeze-thaw cycles.

Cross
Bulk Quote Request Form
Name*:
Organization*:
Email*:
Phone Number*:
Catalog No.*:
Comments and Specifics(amount, formulation, etc.)*:
Validation code: Captchapackage Image


Can't read the image? click here to refresh.
    *required field

Your bulk quote request has been submitted successfully!

Please contact us if you have any questions.