• Tel: 858.663.9055
  • SeparatorEmail: info@nsjbio.com
  • Tel: 858.663.9055
  • Email: info@nsjbio.com
Home >> Antibodies >> Afm Antibody / Afamin

Afm Antibody / Afamin (RQ5793)

  Catalog No Formulation Size Price (USD)  
Image RQ5793 0.5mg/ml if reconstituted with 0.2ml sterile DI water 100 ug 439
Bulk quote request
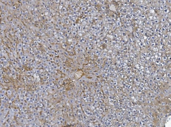
IHC staining of FFPE rat liver with Afm antibody. HIER: boil tissue sections in pH8 EDTA for 20 min and allow to cool before testing.
Flow cytometry testing of mouse spleen cells with Afm antibody at 1ug/million cells (blocked with goat sera); Red=cells alone, Green=isotype control, Blue= Afm antibody.
Flow cytometry testing of mouse HEPA1-6 cells with Afm antibody at 1ug/million cells (blocked with goat sera); Red=cells alone, Green=isotype control, Blue= Afm antibody.
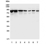
Western blot testing of rat 1) heart, 2) liver, 3) kidney, 4) spleen and mouse 5) spleen, 6) thymus and 7) ANA-1 lysate with Afm antibody. Predicted molecular weight: ~69/87 kDa (unmodified/glycosylated).
Availability 1-3 business days
Species Reactivity Mouse, Rat
Format Antigen affinity purified
Clonality Polyclonal (rabbit origin)
Isotype Rabbit IgG
Purity Affinity purified
Buffer Lyophilized from 1X PBS with 2% Trehalose and 0.025% sodium azide
UniProt O89020
Applications Western Blot : 0.5-1ug/ml
Immunohistochemistry : 1-2ug/ml
Flow Cytometry : 1-3ug/million cells
Direct ELISA : 0.1-0.5ug/ml
Limitations This Afm antibody is available for research use only.
Review this product on BioCompare and get a $20 Amazon gift card

Related Products

  • Applications : WB, ELISA (peptide)
    Reactivity : Human
    Pred. Reactivity : Cow, Dog, Mouse, Rat
  • Applications : WB, IHC-P, FACS, Direct ELISA
    Reactivity : Human

Description

Afamin is a protein that in humans is encoded by the AFM gene. This gene is a member of the albumin gene family, which is comprised of four genes that localize to chromosome 4 in a tandem arrangement. These four genes encode structurally-related serum transport proteins that are known to be evolutionarily related. The protein encoded by this gene is regulated developmentally, expressed in the liver and secreted into the bloodstream.

Application Notes

Optimal dilution of the Afm antibody should be determined by the researcher.

Immunogen

Recombinant mouse protein (amino acids D40-K596) was used as the immunogen for the Afm antibody.

Storage

After reconstitution, the Afm antibody can be stored for up to one month at 4oC. For long-term, aliquot and store at -20oC. Avoid repeated freezing and thawing.

Cross
Bulk Quote Request Form
Name*:
Organization*:
Email*:
Phone Number*:
Catalog No.*:
Comments and Specifics(amount, formulation, etc.)*:
Validation code: Captchapackage Image


Can't read the image? click here to refresh.
    *required field

Your bulk quote request has been submitted successfully!

Please contact us if you have any questions.