• Tel: 858.663.9055
  • SeparatorEmail: info@nsjbio.com
  • Tel: 858.663.9055
  • Email: info@nsjbio.com
Home >> Antibodies >> AFAP1 Antibody

AFAP1 Antibody (RQ6241)

  Catalog No Formulation Size Price (USD)  
Image RQ6241 0.5mg/ml if reconstituted with 0.2ml sterile DI water 100 ug 439
Bulk quote request
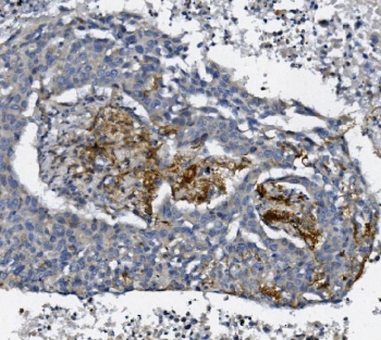
IHC staining of FFPE human lung cancer with AFAP1 antibody. HIER: boil tissue sections in pH8 EDTA for 20 min and allow to cool before testing.
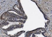
IHC staining of FFPE human prostate cancer with AFAP1 antibody. HIER: boil tissue sections in pH8 EDTA for 20 min and allow to cool before testing.
Western blot testing of 1) human Hela, 2) human SH-SY5Y, 3) human A431, 4) human U-87 MG, 5) rat brain, 6) rat lung, 7) rat stomach, 8) mouse brain, 9) mouse lung and 10) mouse stomach lysate with AFAP1 antibody. Predicted molecular weight ~120 kDa.
Flow cytometry testing of human U-2 OS cells with AFAP1 antibody at 1ug/million cells (blocked with goat sera); Red=cells alone, Green=isotype control, Blue= AFAP1 antibody.
Flow cytometry testing of human A549 cells with AFAP1 antibody at 1ug/million cells (blocked with goat sera); Red=cells alone, Green=isotype control, Blue= AFAP1 antibody.
Availability 1-3 business days
Species Reactivity Human, Mouse, Rat
Format Antigen affinity purified
Clonality Polyclonal (rabbit origin)
Isotype Rabbit IgG
Purity Affinity purified
Buffer Lyophilized from 1X PBS with 2% Trehalose
UniProt Q8N556
Applications Western Blot : 1-2ug/ml
Immunohistochemistry (FFPE) : 2-5ug/ml
Flow Cytometry : 1-3ug/million cells
Direct ELISA : 0.1-0.5ug/ml
Limitations This AFAP1 antibody is available for research use only.
Review this product on BioCompare and get a $20 Amazon gift card

Description

Actin filament-associated protein 1 is a protein that in humans is encoded by the AFAP1 gene. The protein encoded by this gene is a Src binding partner. It may represent a potential modulator of actin filament integrity in response to cellular signals, and may function as an adaptor protein by linking Src family members and/or other signaling proteins to actin filaments. Multiple transcript variants encoding different isoforms have been found for this gene.

Application Notes

Optimal dilution of the AFAP1 antibody should be determined by the researcher.

Immunogen

A human recombinant partial protein (amino acids A498-T730) was used as the immunogen for the AFAP1 antibody.

Storage

After reconstitution, the AFAP1 antibody can be stored for up to one month at 4oC. For long-term, aliquot and store at -20oC. Avoid repeated freezing and thawing.

Cross
Bulk Quote Request Form
Name*:
Organization*:
Email*:
Phone Number*:
Catalog No.*:
Comments and Specifics(amount, formulation, etc.)*:
Validation code: Captchapackage Image


Can't read the image? click here to refresh.
    *required field

Your bulk quote request has been submitted successfully!

Please contact us if you have any questions.