• Tel: 858.663.9055
  • SeparatorEmail: info@nsjbio.com
  • Tel: 858.663.9055
  • Email: info@nsjbio.com
Home >> Antibodies >> AEBP2 Antibody

AEBP2 Antibody (R32462)

  Catalog No Formulation Size Price (USD)  
Image R32462 0.5mg/ml if reconstituted with 0.2ml sterile DI water 100 ug 439
Bulk quote request
Immunofluorescent staining of FFPE human U-2 OS cells with AEBP2 antibody (green) and DAPI nuclear stain (blue). HIER: steam section in pH6 citrate buffer for 20 min.
IHC staining of FFPE human breast cancer with AEBP2 antibody. HIER: boil tissue sections in pH6, 10mM citrate buffer, for 20 min and allow to cool before testing.
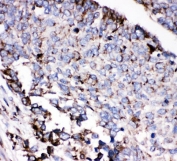
IHC staining of FFPE human lung cancer with AEBP2 antibody. HIER: boil tissue sections in pH6, 10mM citrate buffer, for 20 min and allow to cool before testing.
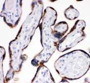
IHC staining of FFPE human placenta with AEBP2 antibody. HIER: boil tissue sections in pH6, 10mM citrate buffer, for 20 min and allow to cool before testing.
Flow cytometry testing of human SiHa cells with AEBP2 antibody at 1ug/million cells (blocked with goat sera); Red=cells alone, Green=isotype control, Blue= AEBP2 antibody.
Western blot testing of human HL60 cell lysate with AEBP2 antibody at 0.5ug/ml. Expected molecular weight ~55 kDa.
Availability 1-3 business days
Species Reactivity Human
Format Antigen affinity purified
Clonality Polyclonal (rabbit origin)
Isotype Rabbit IgG
Purity Antigen affinity
Buffer Lyophilized from 1X PBS with 2.5% BSA and 0.025% sodium azide
UniProt Q6ZN18
Applications Western Blot : 0.5-1ug/ml
Immunohistochemistry (FFPE) : 1-2ug/ml
Immunofluorescence (FFPE) : 2-4ug/ml
Flow Cytometry : 1-3ug/million cells
Limitations This AEBP2 antibody is available for research use only.
Review this product on BioCompare and get a $20 Amazon gift card

Description

Adipocyte Enhancer-Binding Protein is a zinc finger protein that in humans is encoded by the evolutionarily well-conserved gene AEBP2. This gene is mapped to 12p12.3. AEBP2 is a DNA-binding transcriptional repressor. It may regulate the migration and development of the neural crest cells through the PRC2-mediated epigenetic mechanism and is most likely a targeting protein for the mammalian PRC2 complex.

Application Notes

Optimal dilution of the AEBP2 antibody should be determined by the researcher.

Immunogen

Amino acids K424-Q517 from the human protein were used as the immunogen for the AEBP2 antibody.

Storage

Prior to reconstitution, store at 4oC. After reconstitution, the AEBP2 antibody can be stored for up to one month at 4oC. For long-term, aliquot and store at -20oC. Avoid repeated freezing and thawing.

Cross
Bulk Quote Request Form
Name*:
Organization*:
Email*:
Phone Number*:
Catalog No.*:
Comments and Specifics(amount, formulation, etc.)*:
Validation code: Captchapackage Image


Can't read the image? click here to refresh.
    *required field

Your bulk quote request has been submitted successfully!

Please contact us if you have any questions.