• Tel: 858.663.9055
  • SeparatorEmail: info@nsjbio.com
  • Tel: 858.663.9055
  • Email: info@nsjbio.com
Home >> Antibodies >> ADRP Antibody / Adipophilin / Perilipin 2 / PLIN2

ADRP Antibody / Adipophilin / Perilipin 2 / PLIN2 [clone ADFP/1494] (V3207)

  Catalog No Formulation Size Price (USD)  
Image V3207-100UG 0.2 mg/ml in 1X PBS with 0.1 mg/ml BSA (US sourced) and 0.05% sodium azide 100 ug 539
Image
V3207-20UG 0.2 mg/ml in 1X PBS with 0.1 mg/ml BSA (US sourced) and 0.05% sodium azide 20 ug 249
Image
V3207SAF-100UG 1 mg/ml in 1X PBS; BSA free, sodium azide free 100 ug 539
Bulk quote request
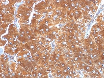
IHC testing of FFPE human adrenal tissue with ADRP antibody (clone ADFP/1494). Required HIER: steam sections in pH6, 10mM citrate buffer for 10-20 min.
Species Reactivity Human
Format Purified
Clonality Monoclonal (mouse origin)
Isotype Mouse IgG2b, kappa
Clone Name ADFP/1494
Purity Protein G affinity chromatography
Buffer 1X PBS, pH 7.4
Gene ID 123
Localization Cytoplasmic
Applications ELISA (order BSA/sodium Azide-free Format For Coating) :
Immunohistochemistry (FFPE) : 2-4ug/ml for 30 min at RT
Limitations This ADRP antibody is available for research use only.
Review this product on BioCompare and get a $20 Amazon gift card

Related Products

Description

Adipophilin, also called Perilipin 2, ADRP (Adipose differentiation related protein), and PLIN2, belongs to the perilipin family, members of which coat intracellular lipid storage droplets. This protein is associated with the lipid globule surface membrane material and maybe involved in development and maintenance of adipose tissue. It is not restricted to adipocytes as previously thought, but is found in a wide range of cultured cell lines, including fibroblasts, endothelial and epithelial cells, and tissues, such as lactating mammary gland, adrenal cortex, Sertoli and Leydig cells, and hepatocytes in alcoholic liver cirrhosis, suggesting that it may serve as a marker of lipid accumulation in diverse cell types and diseases.

Application Notes

Titering of the ADRP antibody may be required for optimal performance.

Immunogen

A human partial recombinant protein was used as the immunogen for this ADRP antibody.

Storage

The ADRP antibody (with azide) can be stored at 2-8oC. The azide-free format should be aliquoted and stored at -20oC or colder.

Cross
Bulk Quote Request Form
Name*:
Organization*:
Email*:
Phone Number*:
Catalog No.*:
Comments and Specifics(amount, formulation, etc.)*:
Validation code: Captchapackage Image


Can't read the image? click here to refresh.
    *required field

Your bulk quote request has been submitted successfully!

Please contact us if you have any questions.