• Tel: 858.663.9055
  • SeparatorEmail: info@nsjbio.com
  • Tel: 858.663.9055
  • Email: info@nsjbio.com
Home >> Antibodies >> ADRB3 Antibody

ADRB3 Antibody (R35019)

  Catalog No Formulation Size Price (USD)  
Image R35019-100UG 0.5 mg/ml in 1X TBS, pH7.3, with 0.5% BSA (US sourced) and 0.02% sodium azide 100 ug 449
Bulk quote request
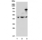
Western blot testing of human cerebral cortex lysate with ADRB3 antibody at 0.03ug/ml. Predicted molecular weight: ~44kDa.
Availability 1-3 business days
Species Reactivity Human
Format Antigen affinity purified
Clonality Polyclonal (goat origin)
Isotype Goat Ig
Purity Antigen affinity
Gene ID 155
Applications Western Blot : 0.03-0.1ug/ml
ELISA (peptide) LOD : 1:128000
Limitations This ADRB3 antibody is available for research use only.
Review this product on BioCompare and get a $20 Amazon gift card

Related Products

Description

Additional name(s) for this target protein: Adrenergic beta-3 receptor antibody, BETA3AR, Beta-3 Adrenergic Receptor

Application Notes

Optimal dilution of the ADRB3 antibody should be determined by the researcher.

Immunogen

Amino acids PHENSSLAPWPD were used as the immunogen for this ADRB3 antibody.

Storage

Aliquot and store the ADRB3 antibody at -20oC.

Cross
Bulk Quote Request Form
Name*:
Organization*:
Email*:
Phone Number*:
Catalog No.*:
Comments and Specifics(amount, formulation, etc.)*:
Validation code: Captchapackage Image


Can't read the image? click here to refresh.
    *required field

Your bulk quote request has been submitted successfully!

Please contact us if you have any questions.