• Tel: 858.663.9055
  • SeparatorEmail: info@nsjbio.com
  • Tel: 858.663.9055
  • Email: info@nsjbio.com
Home >> Antibodies >> ADRA1D Antibody / Alpha Adrenergic Receptor 1d

ADRA1D Antibody / Alpha Adrenergic Receptor 1d (F54388)

  Catalog No Formulation Size Price (USD)  
Image F54388-0.4ML In 1X PBS, pH 7.4, with 0.09% sodium azide 0.4 ml 429
Image
F54388-0.08ML In 1X PBS, pH 7.4, with 0.09% sodium azide 0.08 ml 199
Bulk quote request
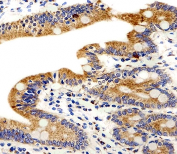
IHC testing of FFPE human small intestine tissue with ADRA1D antibody. HIER: steam section in pH6 citrate buffer for 20 min and allow to cool prior to staining.
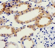
IHC testing of FFPE human kidney tissue with ADRA1D antibody. HIER: steam section in pH6 citrate buffer for 20 min and allow to cool prior to staining.
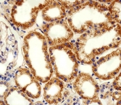
IHC testing of FFPE rat kidney tissue with ADRA1D antibody. HIER: steam section in pH6 citrate buffer for 20 min and allow to cool prior to staining.
Western blot testing of human 1) A549, 2) LNCaP, 3) PC-3 and 4) rat brain lysate with ADRA1D antibody. Predicted molecular weight ~60 kDa.
Flow cytometry testing of fixed and permeabilized human MCF7 cells with ADRA1D antibody; Blue=isotype control, Green= ADRA1D antibody.
Availability 1-3 business days
Species Reactivity Human, Rat
Format Purified
Clonality Polyclonal (rabbit origin)
Isotype Rabbit IgG
Purity Antigen affinity purified
UniProt P25100
Applications Immunohistochemistry (FFPE) : 1:25
Western Blot : 1:500-1:2000
Flow Cytometry : 1:25 (1x10e6 cells)
Limitations This ADRA1D antibody is available for research use only.
Review this product on BioCompare and get a $20 Amazon gift card

Description

This alpha-adrenergic receptor mediates its effect through the influx of extracellular calcium.

Application Notes

The stated application concentrations are suggested starting points. Titration of the ADRA1D antibody may be required due to differences in protocols and secondary/substrate sensitivity.

Immunogen

A portion of amino acids 1-30 from the human protein was used as the immunogen for the ADRA1D antibody.

Storage

Aliquot the ADRA1D antibody and store frozen at -20oC or colder. Avoid repeated freeze-thaw cycles.

Cross
Bulk Quote Request Form
Name*:
Organization*:
Email*:
Phone Number*:
Catalog No.*:
Comments and Specifics(amount, formulation, etc.)*:
Validation code: Captchapackage Image


Can't read the image? click here to refresh.
    *required field

Your bulk quote request has been submitted successfully!

Please contact us if you have any questions.