• Tel: 858.663.9055
  • SeparatorEmail: info@nsjbio.com
  • Tel: 858.663.9055
  • Email: info@nsjbio.com
Home >> Antibodies >> ADRA1B Antibody

ADRA1B Antibody (R36077)

  Catalog No Formulation Size Price (USD)  
Image R36077-100UG 0.5 mg/ml in 1X TBS, pH7.3, with 0.5% BSA (US sourced) and 0.02% sodium azide 100 ug 449
Bulk quote request
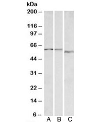
Western blot testing of A) human, B) mouse and C) rat heart lysate with ADRA1B antibody at 0.1ug/ml. Predicted molecular weight: ~57kDa.
Western blot of pig heart lysate with ADRA1B antibody at 0.1ug/ml. Predicted molecular weight: ~57kDa.
Availability 1-3 business days
Species Reactivity Human, Mouse, Rat, Pig
Format Antigen affinity purified
Clonality Polyclonal (goat origin)
Isotype Goat Ig
Purity Antigen affinity
Gene ID 147
Applications Western Blot : 0.1-0.3ug/ml
ELISA (peptide) LOD : 1:128000
Limitations This ADRA1B antibody is available for research use only.
Review this product on BioCompare and get a $20 Amazon gift card

Related Products

  • Applications : WB, ELISA (peptide)
    Reactivity : Human
    Pred. Reactivity : Cow, Dog, Mouse, Pig, Rat

Description

Additional name(s) for this target protein: Alpha-1B adrenoceptor

Application Notes

Optimal dilution of the ADRA1B antibody should be determined by the researcher.

Immunogen

Amino acids SSTKAKGHNPRSS were used as the immunogen for this ADRA1B antibody.

Storage

Aliquot and store the ADRA1B antibody at -20oC.

Cross
Bulk Quote Request Form
Name*:
Organization*:
Email*:
Phone Number*:
Catalog No.*:
Comments and Specifics(amount, formulation, etc.)*:
Validation code: Captchapackage Image


Can't read the image? click here to refresh.
    *required field

Your bulk quote request has been submitted successfully!

Please contact us if you have any questions.