• Tel: 858.663.9055
  • SeparatorEmail: info@nsjbio.com
  • Tel: 858.663.9055
  • Email: info@nsjbio.com
Home >> Antibodies >> ADP,ATP carrier protein 3 Antibody / ANT-3 / SLC25A6

ADP,ATP carrier protein 3 Antibody / ANT-3 / SLC25A6 (F54642)

  Catalog No Formulation Size Price (USD)  
Image F54642-0.4ML In 1X PBS, pH 7.4, with 0.09% sodium azide 0.4 ml 429
Image
F54642-0.08ML In 1X PBS, pH 7.4, with 0.09% sodium azide 0.08 ml 199
Bulk quote request
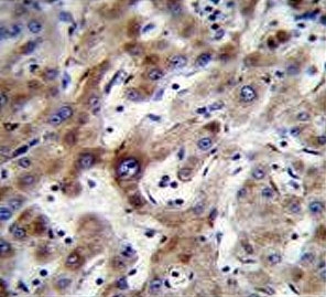
IHC testing of FFPE human liver tissue with ADP,ATP carrier protein 3 antibody. HIER: steam section in pH6 citrate buffer for 20 min and allow to cool prior to staining.
Western blot testing of human A549 cell lysate with ADP,ATP carrier protein 3 antibody. Predicted molecular weight ~32 kDa.
Immunofluorescent staining of human A549 cells with ADP,ATP carrier protein 3 antibody (green) and DAPI nuclear stain (blue).
Flow cytometry testing of human A549 cells with ADP,ATP carrier protein 3 antibody; Blue=isotype control, Green= ADP,ATP carrier protein 3 antibody.
Availability 1-3 business days
Species Reactivity Human
Format Purified
Clonality Polyclonal (rabbit origin)
Isotype Rabbit Ig
Purity Antigen affinity purified
UniProt P12236
Localization Cytoplasmic
Applications Flow Cytometry : 1:25 (1x10e6 cells)
Immunofluorescence : 1:25
Immunohistochemistry (FFPE) : 1:25
Western Blot : 1:500-1:2000
Limitations This ADP,ATP carrier protein 3 antibody is available for research use only.
Review this product on BioCompare and get a $20 Amazon gift card

Description

This gene is a member of the mitochondrial carrier subfamily of solute carrier protein genes. The product of this gene functions as a gated pore that translocates ADP from the mitochondrial matrix into the cytoplasm. The protein is implicated in the function of the permability transition pore complex (PTPC), which regulates the release of mitochondrial products that induce apoptosis. The human genome contains several non-transcribed pseudogenes of this gene.

Application Notes

The stated application concentrations are suggested starting points. Titration of the ADP,ATP carrier protein 3 antibody may be required due to differences in protocols and secondary/substrate sensitivity.

Immunogen

A portion of amino acids 128-155 from the human protein was used as the immunogen for the ADP,ATP carrier protein 3 antibody.

Storage

Aliquot the ADP,ATP carrier protein 3 antibody and store frozen at -20oC or colder. Avoid repeated freeze-thaw cycles.

Cross
Bulk Quote Request Form
Name*:
Organization*:
Email*:
Phone Number*:
Catalog No.*:
Comments and Specifics(amount, formulation, etc.)*:
Validation code: Captchapackage Image


Can't read the image? click here to refresh.
    *required field

Your bulk quote request has been submitted successfully!

Please contact us if you have any questions.