• Tel: 858.663.9055
  • SeparatorEmail: info@nsjbio.com
  • Tel: 858.663.9055
  • Email: info@nsjbio.com
Home >> Antibodies >> ADO Antibody / Aminoethanethiol dioxygenase

ADO Antibody / Aminoethanethiol dioxygenase (R32500)

  Catalog No Formulation Size Price (USD)  
Image R32500 0.5mg/ml if reconstituted with 0.2ml sterile DI water 100 ug 439
Bulk quote request
Immunofluorescent staining of FFPE human A549 cells with ADO antibody (green) at 2ug/ml and DAPI nuclear stain (blue). HIER: steam section in pH6 citrate buffer for 20 min.
Flow cytometry testing of human HeLa cells with ADO antibody at 1ug/10^6 cells (blocked with goat sera); Red=cells alone, Green=isotype control, Blue=ADO antibody.
Flow cytometry testing of human A549 cells with ADO antibody at 1ug/10^6 cells (blocked with goat sera); Red=cells alone, Green=isotype control, Blue=ADO antibody.
Flow cytometry testing of human U-251 MG cells with ADO antibody at 1ug/10^6 cells (blocked with goat sera); Red=cells alone, Green=isotype control, Blue=ADO antibody.
Flow cytometry testing of human PC-3 cells with ADO antibody at 1ug/10^6 cells (blocked with goat sera); Red=cells alone, Green=isotype control, Blue=ADO antibody.
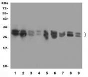
Western blot testing of 1) rat brain, 2) rat testis, 3) rat spleen, 4) human MCF-7, 5) human SW620, 6) mouse spleen, 7) mouse heart, 8) mouse HEPA1-6 and 9) mouse SP2/0 lysate with ADO antibody at 0.5ug/ml. Predicted molecular weight ~28/30 kDa.
Availability 1-3 business days
Species Reactivity Human, Mouse, Rat
Format Antigen affinity purified
Clonality Polyclonal (rabbit origin)
Isotype Rabbit IgG
Purity Antigen affinity
Buffer Lyophilized from 1X PBS with 2.5% BSA and 0.025% sodium azide
UniProt Q96SZ5
Localization Cytoplasmic, membranous
Applications Western Blot : 0.5-1ug/ml
Immunofluorescence : 2-4ug/ml
Flow Cytometry : 1-3ug/million cells
Limitations This ADO antibody is available for research use only.
Review this product on BioCompare and get a $20 Amazon gift card

Description

Human thiol dioxygenases include cysteine dioxygenase (CDO) and cysteamine (2-aminoethanethiol) dioxygenase (ADO). CDO adds 2 oxygen atoms to free cysteine, whereas ADO adds 2 oxygen atoms to free cysteamine to form hypotaurine. It is demonstrated that mouse Ado has strong and specific dioxygenase activity in vitro towards cysteamine but not cysteine. Recombinant Ado was shown to bind iron. Overexpression of Ado in HepG2/C3A cells increased the production of hypotaurine from cysteamine. Similar results were found with human ADO. When endogenous expression of ADO was reduced by RNA-mediated interference, hypotaurine production decreased. It is also noted that the demonstration of high levels of ADO in brain challenges the previous assumption that most of the taurine in the brain is a consequence of CDO activity.

Application Notes

Differences in protocols and secondary/substrate sensitivity may require the ADO antibody to be titrated for optimal performance.

Immunogen

Amino acids E49-E261 from the human protein were used as the immunogen for the ADO antibody.

Storage

After reconstitution, the ADO antibody can be stored for up to one month at 4oC. For long-term, aliquot and store at -20oC. Avoid repeated freezing and thawing.

Cross
Bulk Quote Request Form
Name*:
Organization*:
Email*:
Phone Number*:
Catalog No.*:
Comments and Specifics(amount, formulation, etc.)*:
Validation code: Captchapackage Image


Can't read the image? click here to refresh.
    *required field

Your bulk quote request has been submitted successfully!

Please contact us if you have any questions.