• Tel: 858.663.9055
  • SeparatorEmail: info@nsjbio.com
  • Tel: 858.663.9055
  • Email: info@nsjbio.com
Home >> Antibodies >> Adipophilin Antibody / ADRP / Perilipin 2

Adipophilin Antibody / ADRP / Perilipin 2 (R32551)

  Catalog No Formulation Size Price (USD)  
Image R32551 0.5mg/ml if reconstituted with 0.2ml sterile DI water 100 ug 439
Bulk quote request
Western blot testing of human MCF7 lysate with ADRP antibody at 0.5ug/ml. Predicted/observed molecular weight ~48 kDa.
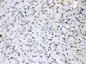
IHC testing of FFPE human breast cancer tissue with ADRP antibody at 1ug/ml. HIER: steam section in pH6 citrate buffer for 20 min.
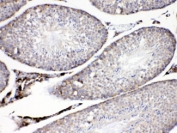
IHC testing of FFPE mouse testis with ADRP antibody at 1ug/ml. HIER: steam section in pH6 citrate buffer for 20 min.
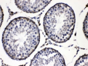
IHC testing of FFPE rat testis with ADRP antibody at 1ug/ml. HIER: steam section in pH6 citrate buffer for 20 min.
Availability 1-3 business days
Species Reactivity Human, Mouse, Rat
Format Antigen affinity purified
Clonality Polyclonal (rabbit origin)
Isotype Rabbit IgG
Purity Antigen affinity
Buffer Lyophilized from 1X PBS with 2.5% BSA and 0.025% sodium azide
UniProt Q99541
Localization Cytoplasmic
Applications Western Blot : 0.5-1ug/ml
IHC (FFPE) : 1-2ug/ml
Limitations This Adipophilin antibody is available for research use only.
Review this product on BioCompare and get a $20 Amazon gift card

Related Products

Description

Adipose differentiation-related protein, also known as Perilipin 2, PLIN2, ADRP and Adipophilin, is a protein which in humans is encoded by the ADFP gene. The protein encoded by this gene belongs to the perilipin family, members of which coat intracellular lipid storage droplets. This protein is associated with the lipid globule surface membrane material, and maybe involved in development and maintenance of adipose tissue. However, it is not restricted to adipocytes as previously thought, but is found in a wide range of cultured cell lines, including fibroblasts, endothelial and epithelial cells, and tissues, such as lactating mammary gland, adrenal cortex, Sertoli and Leydig cells, and hepatocytes in alcoholic liver cirrhosis, suggesting that it may serve as a marker of lipid accumulation in diverse cell types and diseases. Alternatively spliced transcript variants have been found for this gene.

Application Notes

Differences in protocols and secondary/substrate sensitivity may require the Adipophilin antibody to be titrated for optimal performance.

Immunogen

Amino acids K226-Q418 from the human protein were used as the immunogen for the Adipophilin antibody.

Storage

After reconstitution, the Adipophilin antibody can be stored for up to one month at 4oC. For long-term, aliquot and store at -20oC. Avoid repeated freezing and thawing.

Cross
Bulk Quote Request Form
Name*:
Organization*:
Email*:
Phone Number*:
Catalog No.*:
Comments and Specifics(amount, formulation, etc.)*:
Validation code: Captchapackage Image


Can't read the image? click here to refresh.
    *required field

Your bulk quote request has been submitted successfully!

Please contact us if you have any questions.