• Tel: 858.663.9055
  • SeparatorEmail: info@nsjbio.com
  • Tel: 858.663.9055
  • Email: info@nsjbio.com
Home >> Antibodies >> Adiponectin receptor 1 Antibody / ADIPOR1

Adiponectin receptor 1 Antibody / ADIPOR1 (F54985)

  Catalog No Formulation Size Price (USD)  
Image F54985-0.4ML In 1X PBS, pH 7.4, with 0.09% sodium azide 0.4 ml 429
Image
F54985-0.08ML In 1X PBS, pH 7.4, with 0.09% sodium azide 0.08 ml 199
Bulk quote request
Western blot testing of human MCF7 cell lysate with Adiponectin receptor 1 antibody. Predicted molecular weight ~43 kDa.
Western blot testing of human Y79 cell lysate with Adiponectin receptor 1 antibody. Predicted molecular weight ~43 kDa.
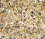
IHC testing of FFPE human hepatocellular carcinoma tissue with Adiponectin receptor 1 antibody. HIER: steam section in pH6 citrate buffer for 20 min and allow to cool prior to staining.
Flow cytometry testing of human WiDr cells with Adiponectin receptor 1 antibody; Blue=isotype control, Green= Adiponectin receptor 1 antibody.
Availability 1-3 business days
Species Reactivity Human
Format Purified
Clonality Polyclonal (rabbit origin)
Isotype Rabbit Ig
Purity Antigen affinity purified
UniProt Q96A54
Applications Flow Cytometry : 1:10-1:50 (1x10e6 cells)
Immunohistochemistry (FFPE) : 1:10-1:50
Western Blot : 1:500-1:1000
Limitations This Adiponectin receptor 1 antibody is available for research use only.
Review this product on BioCompare and get a $20 Amazon gift card

Related Products

Description

The adiponectin receptors, ADIPOR1 and ADIPOR2, serve as receptors for globular and full-length adiponectin and mediate increased AMPK and PPAR-alpha ligand activities, as well as fatty acid oxidation and glucose uptake by adiponectin.

Application Notes

The stated application concentrations are suggested starting points. Titration of the Adiponectin receptor 1 antibody may be required due to differences in protocols and secondary/substrate sensitivity.

Immunogen

A portion of amino acids 305-331 from the human protein was used as the immunogen for the Adiponectin receptor 1 antibody.

Storage

Aliquot the Adiponectin receptor 1 antibody and store frozen at -20oC or colder. Avoid repeated freeze-thaw cycles.

Cross
Bulk Quote Request Form
Name*:
Organization*:
Email*:
Phone Number*:
Catalog No.*:
Comments and Specifics(amount, formulation, etc.)*:
Validation code: Captchapackage Image


Can't read the image? click here to refresh.
    *required field

Your bulk quote request has been submitted successfully!

Please contact us if you have any questions.