• Tel: 858.663.9055
  • SeparatorEmail: info@nsjbio.com
  • Tel: 858.663.9055
  • Email: info@nsjbio.com
Home >> Antibodies >> Adiponectin Antibody

Adiponectin Antibody (R31444)

  Catalog No Formulation Size Price (USD)  
Image R31444 0.5mg/ml if reconstituted with 0.2ml sterile DI water 100 ug 439
Bulk quote request
Western blot testing of Adiponectin antibody and rat samples 1: testis; 2: spleen; 3: skeletal muscle; 4: heart; 5: liver lysate. Routinely observed at 26~30kDa.
IHC-P: Adiponectin antibody testing of mouse lung tissue. HIER: steamed with pH6 citrate buffer.
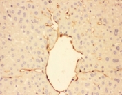
IHC-P: Adiponectin antibody testing of mouse liver tissue. HIER: steamed with pH6 citrate buffer.
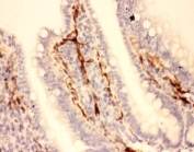
IHC-P: Adiponectin antibody testing of rat intestine tissue. HIER: steamed with pH6 citrate buffer.
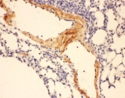
IHC-P testing of rat lung tissue. HIER: steamed with pH6 citrate buffer.
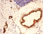
IHC-P testing of rat liver tissue. HIER: steamed with pH6 citrate buffer.
Availability 1-3 business days
Species Reactivity Mouse, Rat
Format Antigen affinity purified
Clonality Polyclonal (rabbit origin)
Isotype Rabbit IgG
Purity Antigen affinity
Buffer Lyophilized from 1X PBS with 2.5% BSA and 0.025% sodium azide
Gene ID 246253
Applications Western Blot : 0.5-1ug/ml
IHC (FFPE) : 0.5-1ug/ml
Limitations This Adiponectin antibody is available for research use only.
Review this product on BioCompare and get a $20 Amazon gift card

Related Products

Description

Adiponectin is a protein which in humans is encoded by the ADIPOQ gene. It is mapped to chromosome 16 in a region showing homology of synteny with human 3q27. By RNase protection and Western blot analysis, it has been showed that Adiponectin is expressed by differentiated adipocytes as a 30-kD protein. By sequence comparisons, it has been found that links between APM1 and TNF family ligands as well as to cytokines expressed by T cells. Adiponectin is a protein hormone that modulates a number of metabolic processes, including glucose regulation and fatty acid oxidation.

Application Notes

Titration of the Adiponectin antibody may be required due to differences in protocols and secondary/substrate sensitivity.

Immunogen

Rat partial recombinant protein (AA 19-244) was used as the immunogen for this Adiponectin antibody.

Storage

The lyophilized Adiponectin antibody can be stored at 4oC to -20oC. After reconstitution, aliquot and store at -20oC. Avoid repeated freeze/thaws.

Cross
Bulk Quote Request Form
Name*:
Organization*:
Email*:
Phone Number*:
Catalog No.*:
Comments and Specifics(amount, formulation, etc.)*:
Validation code: Captchapackage Image


Can't read the image? click here to refresh.
    *required field

Your bulk quote request has been submitted successfully!

Please contact us if you have any questions.