• Tel: 858.663.9055
  • SeparatorEmail: info@nsjbio.com
  • Tel: 858.663.9055
  • Email: info@nsjbio.com
Home >> Antibodies >> Adiponectin Antibody

Adiponectin Antibody (R31434)

  Catalog No Formulation Size Price (USD)  
Image R31434 0.5mg/ml if reconstituted with 0.2ml sterile DI water 100 ug 439
Bulk quote request
Western blot testing of human 1) placenta, 2) HeLa and 3) Jurkat lysate with Adiponectin antibody at 0.5ug/ml. Predicted molecular weight ~30 kDa.
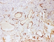
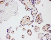
IHC-P: Adiponectin antibody testing of human placenta tissue. HIER: steamed with pH6 citrate buffer.
IHC-P: Adiponectin antibody testing of human lung cancer tissue. HIER: steamed with pH6 citrate buffer.
IHC-P: Adiponectin antibody testing of human breast cancer tissue. HIER: steamed with pH6 citrate buffer.
Availability 1-3 business days
Species Reactivity Human
Format Antigen affinity purified
Clonality Polyclonal (rabbit origin)
Isotype Rabbit IgG
Purity Antigen affinity
Buffer Lyophilized from 1X PBS with 2.5% BSA and 0.025% sodium azide
UniProt Q15848
Applications Western Blot : 0.5-1ug/ml
IHC (FFPE) : 0.5-1ug/ml
Limitations This Adiponectin antibody is available for research use only.
Review this product on BioCompare and get a $20 Amazon gift card

Related Products

Description

Adiponectin, also known as APM1, ADPN or ACDC, is a protein which in humans is encoded by the ADIPOQ gene. Using FISH, Das et al. (2001) mapped the mouse Acrp30 gene to chromosome 16 in a region showing homology of synteny with human 3q27. By RNase protection and Western blot analysis, Schaffler et al. (1999) showed that Adiponectin is expressed by differentiated adipocytes as a 33-kD protein that is also detectable in serum. By sequence comparisons, they found links between it and TNF family ligands as well as to cytokines expressed by T cells. Adiponectin is a protein hormone that modulates a number of metabolic processes, including glucose regulation and fatty acid oxidation. Itn is secreted from adipose tissue and from the placenta in pregnancy) into the bloodstream and is very abundant in plasma relative to many hormones.

Application Notes

The stated application concentrations are suggested starting amounts. Titration of the Adiponectin antibody may be required due to differences in protocols and secondary/substrate sensitivity.

Immunogen

Human partial recombinant protein (AA 19-244) was used as the immunogen for this Adiponectin antibody.

Storage

After reconstitution, the Adiponectin antibody can be stored for up to one month at 4oC. For long-term, aliquot and store at -20oC. Avoid repeated freezing and thawing.

Cross
Bulk Quote Request Form
Name*:
Organization*:
Email*:
Phone Number*:
Catalog No.*:
Comments and Specifics(amount, formulation, etc.)*:
Validation code: Captchapackage Image


Can't read the image? click here to refresh.
    *required field

Your bulk quote request has been submitted successfully!

Please contact us if you have any questions.