• Tel: 858.663.9055
  • SeparatorEmail: info@nsjbio.com
  • Tel: 858.663.9055
  • Email: info@nsjbio.com
Home >> Antibodies >> Adiponectin Antibody

Adiponectin Antibody [clone ADPQ-1] (V7249)

  Catalog No Formulation Size Price (USD)  
Image V7249-100UG 0.2 mg/ml in 1X PBS with 0.1 mg/ml BSA (US sourced) and 0.05% sodium azide 100 ug 539
Image
V7249-20UG 0.2 mg/ml in 1X PBS with 0.1 mg/ml BSA (US sourced) and 0.05% sodium azide 20 ug 249
Image
V7249SAF-100UG 1 mg/ml in 1X PBS; BSA free, sodium azide free 100 ug 539
Bulk quote request
Western blot testing of human kidney lysate with Adiponectin antibody (clone ADPQ-1). Routinely observed at 26~30 kDa.
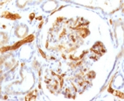
IHC testing of FFPE human kidney with Adiponectin antibody (clone ADPQ-1). HIER: boil tissue sections in pH6, 10mM citrate buffer, for 10-20 min and allow to cool before testing.
Species Reactivity Human
Format Purified
Clonality Monoclonal (mouse origin)
Isotype Mouse IgG2b, kappa
Clone Name ADPQ-1
Purity Protein G affinity chromatography
Buffer 1X PBS, pH 7.4
Gene ID 9370
Localization Cytoplasmic, membrane
Applications Western Blot : 1-2ug/ml
Immunohistochemistry (FFPE) : 1-2ug/ml
Limitations This Adiponectin antibody is available for research use only.
Review this product on BioCompare and get a $20 Amazon gift card

Related Products

Description

Adiponectin (commonly called ADIPO, or by the gene name ADIPOQ) is an adipocytokine, a hormone produced in adipose tissue. It is abundantly present in plasma and has insulin like effect on glucose levels in the blood. Plasma ADIPO levels are low in insulin resistant patients who are obese, have diabetes mellitus type 2 or HIV-lipodystrophy. In women, levels tend to be higher than in men, which may be due to androgens suppressing ADIPO levels. Furthermore, adiponectin and leptin are both indicated in regulating body weight through direct action on the hypothalamus, influencing appetite. Obese people have low ADIPO levels while levels in anorexia patients are high. Adiponectin acts as ligand for various receptors, two of which have been identified, one probably involved in carbohydrate assimilation, the other in tuning the rate of metabolism.

Application Notes

The concentration stated for each application is a general starting point. Variations in protocols, secondaries and substrates may require the Adiponectin antibody to be titered up or down for optimal performance.

Immunogen

A human recombinant partial protein was used as the immunogen for this Adiponectin antibody.

Storage

Store the Adiponectin antibody at 2-8oC (with azide) or aliquot and store at -20oC or colder (without azide).

Cross
Bulk Quote Request Form
Name*:
Organization*:
Email*:
Phone Number*:
Catalog No.*:
Comments and Specifics(amount, formulation, etc.)*:
Validation code: Captchapackage Image


Can't read the image? click here to refresh.
    *required field

Your bulk quote request has been submitted successfully!

Please contact us if you have any questions.