• Tel: 858.663.9055
  • SeparatorEmail: info@nsjbio.com
  • Tel: 858.663.9055
  • Email: info@nsjbio.com
Home >> Antibodies >> Adiponectin Antibody

Adiponectin Antibody [clone ADPN/4256] (V8692)

  Catalog No Formulation Size Price (USD)  
Image V8692-100UG 0.2 mg/ml in 1X PBS with 0.1 mg/ml BSA (US sourced) and 0.05% sodium azide 100 ug 539
Image
V8692-20UG 0.2 mg/ml in 1X PBS with 0.1 mg/ml BSA (US sourced) and 0.05% sodium azide 20 ug 249
Image
V8692SAF-100UG 1 mg/ml in 1X PBS; BSA free, sodium azide free 100 ug 539
Bulk quote request
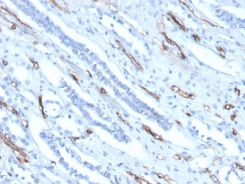
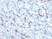
IHC staining of FFPE human kidney with Adiponectin antibody (clone ADPN/4256). HIER: boil tissue sections in pH 9 10mM Tris with 1mM EDTA for 20 min and allow to cool before testing.
IHC staining of FFPE human kidney with Adiponectin antibody (clone ADPN/4256). HIER: boil tissue sections in pH 9 10mM Tris with 1mM EDTA for 20 min and allow to cool before testing.
SDS-PAGE analysis of purified, BSA-free Adiponectin antibody (clone ADPN/4256) as confirmation of integrity and purity.
Availability 1-3 business days
Species Reactivity Human
Format Purified
Clonality Monoclonal (mouse origin)
Isotype Mouse IgG1
Clone Name ADPN/4256
Purity Protein G affinity chromatography
UniProt Q15848
Localization Cytoplasmic & Cell surface
Applications ELISA : order BSA-free format for coating*
Immunohistochemistry (FFPE) : 1-2ug/ml for 30 minutes at RT
Limitations This Adiponectin antibody is available for research use only.
Review this product on BioCompare and get a $20 Amazon gift card

Related Products

Description

This MAb reacts with adiponectin, an adipocytokine. Adipocytokines are hormones produced in adipose tissue. Adiponectin is abundantly present in plasma and has insulin like effect on glucose levels in the blood. Plasma adiponectin levels are low in insulin resistant patients who are obese, have diabetes mellitus type 2 or HIV-lipodystrophy. In women adiponectin levels tend to be higher than in men, which may be due to androgens suppressing adiponectin levels. Furthermore, adiponectin and leptin are both indicated in regulating body weight through direct action on the hypothalamus, influencing appetite. Obese people have low adiponectin levels while levels in anorexia patients are high. Adiponectin acts as ligand for various receptors, two of which have been identified, one probably involved in carbohydrate assimilation, the other in tuning the rate of metabolism. Clone ADPN/4256 is used to detect plasma adiponectin concentrations.

Application Notes

Optimal dilution of the Adiponectin antibody should be determined by the researcher.

*The ADPN/4256 mAb can also used in a combination ELISA with clone ADPN/4255, acting as the capture antibody.

Immunogen

A synthetic peptide corresponding to the tail region of the Adiponectin molecule was used as the immunogen for the Adiponectin antibody.

Storage

Store the Adiponectin antibody at 2-8oC (with azide) or aliquot and store at -20oC or colder (without azide).

Cross
Bulk Quote Request Form
Name*:
Organization*:
Email*:
Phone Number*:
Catalog No.*:
Comments and Specifics(amount, formulation, etc.)*:
Validation code: Captchapackage Image


Can't read the image? click here to refresh.
    *required field

Your bulk quote request has been submitted successfully!

Please contact us if you have any questions.