• Tel: 858.663.9055
  • SeparatorEmail: info@nsjbio.com
  • Tel: 858.663.9055
  • Email: info@nsjbio.com
Home >> Antibodies >> ADH1B Antibody / Alcohol dehydrogenase 1B

ADH1B Antibody / Alcohol dehydrogenase 1B (F54429)

  Catalog No Formulation Size Price (USD)  
Image F54429-0.4ML In 1X PBS, pH 7.4, with 0.09% sodium azide 0.4 ml 429
Image
F54429-0.08ML In 1X PBS, pH 7.4, with 0.09% sodium azide 0.08 ml 199
Bulk quote request
Western blot testing of human 1) liver and 2) Jurkat cell lysate with ADH1B antibody. Predicted molecular weight ~40 kDa.
Western blot testing of human HepG2 cell lysate with ADH1B antibody. Predicted molecular weight ~40 kDa.
Immunofluorescent staining of human HepG2 cells with ADH1B antibody (green) and DAPI nuclear stain (blue).
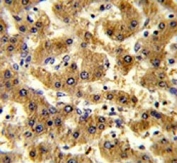
IHC testing of FFPE human hepatocarinoma tissue with ADH1B antibody. HIER: steam section in pH6 citrate buffer for 20 min and allow to cool prior to staining.
Flow cytometry testing of human HepG2 cells with ADH1B antibody; Blue=isotype control, Green= ADH1B antibody.
Availability 1-3 business days
Species Reactivity Human
Format Purified
Clonality Polyclonal (rabbit origin)
Isotype Rabbit Ig
Purity SAS precipitation
UniProt P00325
Localization Cytoplasmic
Applications Immunofluorescence : 1:25
Flow Cytometry : 1:25 (1x10e6 cells)
Immunohistochemistry (FFPE) : 1:25
Western Blot : 1:500-1:2000
Limitations This ADH1B antibody is available for research use only.
Review this product on BioCompare and get a $20 Amazon gift card

Related Products

Description

The protein is a member of the alcohol dehydrogenase family. Members of this enzyme family metabolize a wide variety of substrates, including ethanol, retinol, other aliphatic alcohols, hydroxysteroids, and lipid peroxidation products. This encoded protein, consisting of several homo- and heterodimers of alpha, beta, and gamma subunits, exhibits high activity for ethanol oxidation and plays a major role in ethanol catabolism.

Application Notes

The stated application concentrations are suggested starting points. Titration of the ADH1B antibody may be required due to differences in protocols and secondary/substrate sensitivity.

Immunogen

A portion of amino acids 209-237 from the human protein was used as the immunogen for the ADH1B antibody.

Storage

Aliquot the ADH1B antibody and store frozen at -20oC or colder. Avoid repeated freeze-thaw cycles.

Cross
Bulk Quote Request Form
Name*:
Organization*:
Email*:
Phone Number*:
Catalog No.*:
Comments and Specifics(amount, formulation, etc.)*:
Validation code: Captchapackage Image


Can't read the image? click here to refresh.
    *required field

Your bulk quote request has been submitted successfully!

Please contact us if you have any questions.