• Tel: 858.663.9055
  • SeparatorEmail: info@nsjbio.com
  • Tel: 858.663.9055
  • Email: info@nsjbio.com
Home >> Antibodies >> Adgrg1 Antibody / Gpr56 / Adhesion G-protein coupled receptor G1

Adgrg1 Antibody / Gpr56 / Adhesion G-protein coupled receptor G1 (RQ7368)

  Catalog No Formulation Size Price (USD)  
Image RQ7368 0.5mg/ml if reconstituted with 0.2ml sterile DI water 100 ug 439
Bulk quote request
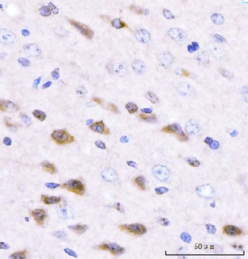
IHC staining of FFPE mouse brain tissue with Adgrg1 antibody. HIER: boil tissue sections in pH8 EDTA for 20 min and allow to cool before testing.
IHC staining of FFPE rat brain tissue with Adgrg1 antibody. HIER: boil tissue sections in pH8 EDTA for 20 min and allow to cool before testing.
Western blot testing of 1) rat brain, 2) rat heart, 3) rat C6, 4) mouse brain, 5) mouse heart, 6) mouse Neuro-2a and 7) mouse C2C12 cell lysate with Adgrg1 antibody. Predicted molecular weight ~78 kDa.
Flow cytometry testing of mouse RAW264.7 cells with Adgrg1 antibody at 1ug/million cells (blocked with goat sera); Red=cells alone, Green=isotype control, Blue= Adgrg1 antibody.
Availability 1-3 business days
Species Reactivity Mouse, Rat
Format Antigen affinity purified
Clonality Polyclonal (rabbit origin)
Isotype Rabbit IgG
Purity Antigen affinity purified
Buffer Lyophilized from 1X PBS with 2% Trehalose
UniProt Q8K209
Applications Western Blot : 0.5-1ug/ml
Immunohistochemistry (FFPE) : 2-5ug/ml
Flow Cytometry : 1-3ug/million cells
Direct ELISA : 0.1-0.5ug/ml
Limitations This Adgrg1 antibody is available for research use only.
Review this product on BioCompare and get a $20 Amazon gift card

Description

Enables several functions, including collagen binding activity; extracellular matrix binding activity; and heparin binding activity. Involved in several processes, including negative regulation of neuron migration; positive regulation of Rho protein signal transduction; and seminiferous tubule development. Acts upstream of or within cerebral cortex regionalization; hematopoietic stem cell homeostasis; and positive regulation of neural precursor cell proliferation. Located in glial limiting end-foot. Is expressed in several structures, including alimentary system; ganglia; genitourinary system; respiratory system; and sensory organ. Human ortholog(s) of this gene implicated in bilateral frontoparietal polymicrogyria and bilateral perisylvian polymicrogyria. Orthologous to human ADGRG1 (adhesion G protein-coupled receptor G1).

Application Notes

Optimal dilution of the Adgrg1 antibody should be determined by the researcher.

Immunogen

Recombinant mouse protein (amino acids E53-S554) was used as the immunogen for the Adgrg1 antibody.

Storage

After reconstitution, the Adgrg1 antibody can be stored for up to one month at 4oC. For long-term, aliquot and store at -20oC. Avoid repeated freezing and thawing.

Cross
Bulk Quote Request Form
Name*:
Organization*:
Email*:
Phone Number*:
Catalog No.*:
Comments and Specifics(amount, formulation, etc.)*:
Validation code: Captchapackage Image


Can't read the image? click here to refresh.
    *required field

Your bulk quote request has been submitted successfully!

Please contact us if you have any questions.