• Tel: 858.663.9055
  • SeparatorEmail: info@nsjbio.com
  • Tel: 858.663.9055
  • Email: info@nsjbio.com
Home >> Antibodies >> Adenosine deaminase Antibody / ADA1

Adenosine deaminase Antibody / ADA1 (R32414)

  Catalog No Formulation Size Price (USD)  
Image R32414 0.5mg/ml if reconstituted with 0.2ml sterile DI water 100 ug 439
Bulk quote request
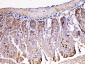
IHC staining of FFPE human intestinal cancer tissue with Adenosine deaminase antibody. HIER: boil tissue sections in pH8 EDTA for 20 min and allow to cool before testing.
Western blot testing of 1) human Jurkat, 2) rat thymus and 3) mouse thymus tissue lysate with Adenosine deaminase antibody. Expected molecular weight ~41 kDa.
Flow cytometry testing of fixed and permeabilized human Jurkat cells with Adenosine deaminase antibody at 1ug/million cells (blocked with goat sera); Red=cells alone, Green=isotype control, Blue= Adenosine deaminase antibody.
Availability 1-3 business days
Species Reactivity Human, Mouse, Rat
Format Antigen affinity purified
Clonality Polyclonal (rabbit origin)
Isotype Rabbit IgG
Purity Antigen affinity
Buffer Lyophilized from 1X PBS with 2.5% BSA and 0.025% sodium azide
UniProt P00813
Localization Cytoplasmic, cell membrane
Applications Western Blot : 0.5-1ug/ml
Immunohistochemistry (FFPE) : 2-5ug/ml
Flow Cytometry : 1-3ug/million cells
Limitations This Adenosine deaminase antibody is available for research use only.
Review this product on BioCompare and get a $20 Amazon gift card

Related Products

Description

Adenosine deaminase (also known as adenosine aminohydrolase, or ADA) is an enzyme involved in purine metabolism. Primarily, ADA in humans is involved in the development and maintenance of the immune system. However, ADA association has also been observed with epithelial cell differentiation, neurotransmission, and gestation maintenance. It has also been proposed that ADA, in addition to adenosine breakdown, stimulates release of excitatory amino acids and is necessary to the coupling of A1 adenosine receptors and heterotrimeric G proteins. Adenosine deaminase deficiency leads to pulmonary fibrosis, suggesting that chronic exposure to high levels of adenosine can exacerbate inflammation responses rather than suppressing them. It has also been recognized that adenosine deaminase protein and activity is upregulated in mouse hearts that overexpress HIF-1 alpha, which in part explains the attenuated levels of adenosine in HIF-1 alpha expressing hearts during ischemic stress.

Application Notes

Optimal dilution of the Adenosine deaminase antibody should be determined by the researcher.

Immunogen

Amino acids Q135-L363 of the human protein were used as the immunogen for the Adenosine deaminase antibody.

Storage

After reconstitution, the Adenosine deaminase antibody can be stored for up to one month at 4oC. For long-term, aliquot and store at -20oC. Avoid repeated freezing and thawing.

Cross
Bulk Quote Request Form
Name*:
Organization*:
Email*:
Phone Number*:
Catalog No.*:
Comments and Specifics(amount, formulation, etc.)*:
Validation code: Captchapackage Image


Can't read the image? click here to refresh.
    *required field

Your bulk quote request has been submitted successfully!

Please contact us if you have any questions.