• Tel: 858.663.9055
  • SeparatorEmail: info@nsjbio.com
  • Tel: 858.663.9055
  • Email: info@nsjbio.com
Home >> Antibodies >> Adenine phosphoribosyltransferase Antibody / APRT

Adenine phosphoribosyltransferase Antibody / APRT (F54787)

  Catalog No Formulation Size Price (USD)  
Image F54787-0.4ML In 1X PBS, pH 7.4, with 0.09% sodium azide 0.4 ml 429
Image
F54787-0.08ML In 1X PBS, pH 7.4, with 0.09% sodium azide 0.08 ml 199
Bulk quote request
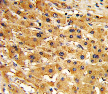
IHC testing of FFPE human hepatocellular carcinoma tissue with Adenine phosphoribosyltransferase antibody. HIER: steam section in pH6 citrate buffer for 20 min and allow to cool prior to staining.
Immunofluorescent staining of fixed and permeabilized human A549 cells with Adenine phosphoribosyltransferase antibody (green) and anti-Actin (red).
Western blot testing of human A2058 cell lysate with Adenine phosphoribosyltransferase antibody. Predicted molecular weight ~20 kDa.
Flow cytometry testing of human HepG2 cells with Adenine phosphoribosyltransferase antibody; Blue=isotype control, Green= Adenine phosphoribosyltransferase antibody.
Availability 1-3 business days
Species Reactivity Human
Format Purified
Clonality Polyclonal (rabbit origin)
Isotype Rabbit Ig
Purity Antigen affinity purified
UniProt P07741
Localization Cytoplasmic, nuclear
Applications Western Blot : 1:500-1:1000
Immunofluorescence : 1:25
Flow Cytometry : 1:25 (1x10e6 cells)
Immunohistochemistry (FFPE) : 1:25
Limitations This Adenine phosphoribosyltransferase antibody is available for research use only.
Review this product on BioCompare and get a $20 Amazon gift card

Related Products

  • Applications : WB, FACS, IF
    Reactivity : Human
  • Applications : WB, IHC-P
    Reactivity : Human

Description

A conserved feature of APRT is the distribution of CpG dinucleotides. This enzyme catalyzes the formation of AMP and inorganic pyrophosphate from adenine and 5-phosphoribosyl-1-pyrophosphate (PRPP). It also produces adenine as a by-product of the polyamine biosynthesis pathway. A homozygous deficiency in this enzyme causes 2,8-dihydroxyadenine urolithiasis.

Application Notes

The stated application concentrations are suggested starting points. Titration of the Adenine phosphoribosyltransferase antibody may be required due to differences in protocols and secondary/substrate sensitivity.

Immunogen

A portion of amino acids 12-40 from the human protein was used as the immunogen for the Adenine phosphoribosyltransferase antibody.

Storage

Aliquot the Adenine phosphoribosyltransferase antibody and store frozen at -20oC or colder. Avoid repeated freeze-thaw cycles.

Cross
Bulk Quote Request Form
Name*:
Organization*:
Email*:
Phone Number*:
Catalog No.*:
Comments and Specifics(amount, formulation, etc.)*:
Validation code: Captchapackage Image


Can't read the image? click here to refresh.
    *required field

Your bulk quote request has been submitted successfully!

Please contact us if you have any questions.