• Tel: 858.663.9055
  • SeparatorEmail: info@nsjbio.com
  • Tel: 858.663.9055
  • Email: info@nsjbio.com
Home >> Antibodies >> ADCYAP1 Antibody / PACAP

ADCYAP1 Antibody / PACAP (F54833)

  Catalog No Formulation Size Price (USD)  
Image F54833-0.4ML In 1X PBS, pH 7.4, with 0.09% sodium azide 0.4 ml 429
Image
F54833-0.08ML In 1X PBS, pH 7.4, with 0.09% sodium azide 0.08 ml 199
Bulk quote request
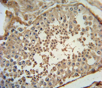
IHC testing of FFPE human testis tissue with ADCYAP1 antibody. HIER: steam section in pH6 citrate buffer for 20 min and allow to cool prior to staining.
Immunofluorescent staining human HEK293 cells with ADCYAP1 antibody (green) and DAPI nuclear stain (blue).
Western blot testing of human HEK293 cell lysate with ADCYAP1 antibody. Predicted molecular weight ~19 kDa but may be observed at up to 25 kDa.
Flow cytometry testing of human HEK293 cells with ADCYAP1 antibody; Blue=isotype control, Green= ADCYAP1 antibody.
Availability 1-3 business days
Species Reactivity Human
Format Purified
Clonality Polyclonal (rabbit origin)
Isotype Rabbit IgG
Purity Antigen affinity purified
UniProt P18509
Applications Flow Cytometry : 1:10-1:50 (1x10e6 cells)
Immunofluorescence : 1:10-1:50
Immunohistochemistry (FFPE) : 1:10-1:50
Western Blot : 1:500-1:1000
Limitations This ADCYAP1 antibody is available for research use only.
Review this product on BioCompare and get a $20 Amazon gift card

Related Products

  • Applications : WB, ELISA (peptide)
    Reactivity : Human
    Pred. Reactivity : Cow, Dog, Mouse, Pig, Rat

Description

ADCYAP1 is adenylate cyclase activating polypeptide 1. Mediated by adenylate cyclase activating polypeptide 1 receptors, this polypeptide stimulates adenylate cyclase and subsequently increases the cAMP level in target cells. Adenylate cyclase activating polypeptide 1 is not only a hypophysiotropic hormone, but also functions as a neurotransmitter and neuromodulator. In addition, it plays a role in paracrine and autocrine regulation of certain types of cells. This gene encodes three different mature peptides, including two isotypes, a shorter form and a longer form.

Application Notes

The stated application concentrations are suggested starting points. Titration of the ADCYAP1 antibody may be required due to differences in protocols and secondary/substrate sensitivity.

Immunogen

A portion of amino acids 148-176 from the human protein was used as the immunogen for the ADCYAP1 antibody.

Storage

Aliquot the ADCYAP1 antibody and store frozen at -20oC or colder. Avoid repeated freeze-thaw cycles.

Cross
Bulk Quote Request Form
Name*:
Organization*:
Email*:
Phone Number*:
Catalog No.*:
Comments and Specifics(amount, formulation, etc.)*:
Validation code: Captchapackage Image


Can't read the image? click here to refresh.
    *required field

Your bulk quote request has been submitted successfully!

Please contact us if you have any questions.