• Tel: 858.663.9055
  • SeparatorEmail: info@nsjbio.com
  • Tel: 858.663.9055
  • Email: info@nsjbio.com
Home >> Antibodies >> ADAMTS9 Antibody

ADAMTS9 Antibody (RQ7354)

  Catalog No Formulation Size Price (USD)  
Image RQ7354 0.5mg/ml if reconstituted with 0.2ml sterile DI water 100 ug 439
Bulk quote request
Flow cytometry testing of human U-2 OS cells with ADAMTS9 antibody at 1ug/million cells (blocked with goat sera); Red=cells alone, Green=isotype control, Blue= ADAMTS9 antibody.
Flow cytometry testing of human ThP-1 cells with ADAMTS9 antibody at 1ug/million cells (blocked with goat sera); Red=cells alone, Green=isotype control, Blue= ADAMTS9 antibody.
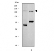
Western blot testing of 1) human SH-SY5Y and 2) rat H9C2(2-1) cell lysate with ADAMTS9 antibody. Expected molecular weight: 120-216 kDa (multiple isoforms).
Availability 1-3 business days
Species Reactivity Human, Rat
Format Antigen affinity purified
Clonality Polyclonal (rabbit origin)
Isotype Rabbit IgG
Purity Antigen affinity purified
Buffer Lyophilized from 1X PBS with 2% Trehalose
UniProt Q9P2N4
Applications Western Blot : 0.5-1ug/ml
Flow Cytometry : 1-3ug/million cells
Direct ELISA : 0.1-0.5ug/ml
Limitations This ADAMTS9 antibody is available for research use only.
Review this product on BioCompare and get a $20 Amazon gift card

Description

A disintegrin and metalloproteinase with thrombospondin motifs 9 is an enzyme that in humans is encoded by the ADAMTS9 gene. This gene encodes a member of the ADAMTS (a disintegrin and metalloproteinase with thrombospondin motifs) protein family. Members of the family share several distinct protein modules, including a propeptide region, a metalloproteinase domain, a disintegrin-like domain, and a thrombospondin type 1 (TS) motif. Individual members of this family differ in the number of C-terminal TS motifs, and some have unique C-terminal domains. Members of the ADAMTS family have been implicated in the cleavage of proteoglycans, the control of organ shape during development, and the inhibition of angiogenesis. This gene is localized to chromosome 3p14.3-p14.2, an area known to be lost in hereditary renal tumors. Alternative splicing results in multiple transcript variants encoding different isoforms that may undergo similar proteolytic processing.

Application Notes

Optimal dilution of the ADAMTS9 antibody should be determined by the researcher.

Immunogen

Recombinant human protein (amino acids F288-H1853) was used as the immunogen for the ADAMTS9 antibody.

Storage

After reconstitution, the ADAMTS9 antibody can be stored for up to one month at 4oC. For long-term, aliquot and store at -20oC. Avoid repeated freezing and thawing.

Cross
Bulk Quote Request Form
Name*:
Organization*:
Email*:
Phone Number*:
Catalog No.*:
Comments and Specifics(amount, formulation, etc.)*:
Validation code: Captchapackage Image


Can't read the image? click here to refresh.
    *required field

Your bulk quote request has been submitted successfully!

Please contact us if you have any questions.