• Tel: 858.663.9055
  • SeparatorEmail: info@nsjbio.com
  • Tel: 858.663.9055
  • Email: info@nsjbio.com
Home >> Antibodies >> ADAMTS5 Antibody

ADAMTS5 Antibody (RQ6310)

  Catalog No Formulation Size Price (USD)  
Image RQ6310 0.5mg/ml if reconstituted with 0.2ml sterile DI water 100 ug 439
Bulk quote request
IHC staining of FFPE human placental tissue with ADAMTS5 antibody. HIER: boil tissue sections in pH8 EDTA for 20 min and allow to cool before testing.
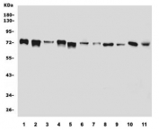
Western blot testing of human 1) HeLa, 2) HepG2, 3) U-2 OS, 4) SW620, 5) ThP-1, 6) Raji, 7) SGC-7901, 8) rat liver, 9) rat testis, 10) mouse liver and 11) mouse testis lysate with ADAMTS5 antibody. Predicted molecular weight ~102 kDa, but the processed forms can be observed at approx. 50-102 kDa.
Availability 1-3 business days
Species Reactivity Human, Mouse, Rat
Format Purified
Clonality Polyclonal (rabbit origin)
Isotype Rabbit IgG
Purity Antigen affinity purified
Buffer Lyophilized from 1X PBS with 2% Trehalose
UniProt Q9UNA0
Applications Western Blot : 0.5-1ug/ml
Immunohistochemistry (FFPE) : 2-5ug/ml
Direct ELISA : 0.1-0.5ug/ml
Limitations This ADAMTS5 antibody is available for research use only.
Review this product on BioCompare and get a $20 Amazon gift card

Description

ADAMTS5 (A Disintegrin-Like and Metalloproteinase with Thrombospondin Type 1 Motif, 5), is an enzyme that in humans is encoded by the ADAMTS5 gene. ADAMTS5 is a member of the large ADAMTS family of zinc-dependent proteases. The enzyme encoded by this gene contains two C-terminal TS motifs and functions as aggrecanase to cleave aggrecan, a major proteoglycan of cartilage. By somatic cell hybrid analysis, the human ADAMTS5 gene is mapped to chromosome 21. Used mouse models, it is showed that Sdc4 controls a pathway that activates Adamts5 at the chondrocyte cell surface through Erk1/Erk2 activation of Mmp3.

Application Notes

Optimal dilution of the ADAMTS5 antibody should be determined by the researcher.

Immunogen

Recombinant human protein (amino acids D747-K780) was used as the immunogen for the ADAMTS5 antibody.

Storage

After reconstitution, the ADAMTS5 antibody can be stored for up to one month at 4oC. For long-term, aliquot and store at -20oC. Avoid repeated freezing and thawing.

Cross
Bulk Quote Request Form
Name*:
Organization*:
Email*:
Phone Number*:
Catalog No.*:
Comments and Specifics(amount, formulation, etc.)*:
Validation code: Captchapackage Image


Can't read the image? click here to refresh.
    *required field

Your bulk quote request has been submitted successfully!

Please contact us if you have any questions.